全球首款!佳能医疗CZT光子计数CT正式发布

医疗器械媒体报道先锋
分享专业医疗器械知识
在JRC2026上,佳能医疗CZT-PCCT全球首发,全球首款多体位全身CT重磅展出。
2026年4月16日至19日,佳能医疗在日本横滨举行的日本放射学大会(JRC2026)上,正式发布基于碲锌镉(CZT)材料的光子计数CT系统。该系统已于2025年6月获得美国FDA批准,是全球首款基于碲锌镉技术路线的光子计数CT。本次发布标志着该技术正加速走向全球临床应用落地。
同时,围绕复杂疾病诊疗需求,佳能医疗同步展示覆盖CT、MRI、DSA、X线及超声的多模态技术布局,系统呈现影像技术从前沿探索走向临床应用的整体能力。
JRC是全球影像医学领域重要的风向标之一,JRC2026(即第85届日本放射学会年会、日本放射技术学会年会、日本医学物理学会年会、日本医学物理学会年会及国际医学影像综合展)以“Radiology Connectome”为主题,汇聚临床、技术与产业多方力量,集中呈现光子计数CT、高场MRI及AI赋能影像等前沿发展方向。

CZT-PCCT全球首发
基于碲锌镉(CZT)探测器材料,CZT-PCCT实现单光子层面的信号采集与能量分辨,影像由单一强度信息拓展为多维能谱信息,在提升空间分辨率的同时获取更丰富的组织信息。结合深度学习重建技术,在图像细节、噪声控制与剂量效率之间实现优化,为复杂疾病提供更加精细、稳定且高度可解释的影像支持。
同时,依托以AI为核心的自动化工作流技术,在提升检查效率的同时增强流程一致性与可重复性,推动CT检查向更加高效、标准化的方向演进。
基于全球的具体应用反馈,CZT-PCCT可以面向对细节与定量要求更高的临床场景提供支持。
🔹在心血管成像中,CZT-PCCT通过更高的空间分辨率与更薄层厚成像能力,使血管细节及远端分支结构获得更清晰、连续的显示。对于小血管及复杂病变的观察,有助于提升影像评估的精细度,为心血管疾病的诊断与分析提供更加可靠的依据。
🔹在肿瘤评估中,基于CZT-PCCT的能谱成像能力,可提供虚拟单能量图像及碘图等多维定量信息,有助于更清晰地呈现病灶强化特征与组织差异。相较传统成像方式,可以为肿瘤的检出、定性及评估提供更加丰富的影像参考。

围绕碲锌镉光子计数CT这一技术方向,佳能医疗于2021年完成对Redlen Technologies的收购,将核心材料研发与探测器制造能力纳入体系,并与整机系统及AI技术协同推进,逐步形成从关键材料到成像算法的一体化能力。在此基础上,通过持续提升核心器件的制造与供给能力,并在产业层面推动碲锌镉技术路径的发展,助力CZT-PCCT在更广泛临床场景中的应用,为下一代技术能更好地解决临床难题提供支持。
注:该产品目前尚未在中国上市

多体位CT现场演示
作为全球首款支持站立、坐姿及仰卧位多体位成像的全身CT系统,Aquilion Rise突破传统“只能躺着扫描”的检查模式,将影像评估拓展至“与体位相关的功能改变”的观察维度。针对脊柱、关节等部位疾病在不同体位下表现差异明显的临床场景,可提供更接近生理状态的影像信息,辅助医生更全面地诊断判断,显著拓展了CT临床诊断边界。

在系统设计上,结合AI自动化流程,对患者定位、扫描规划及操作流程进行优化,在提升检查效率的同时,有助于降低操作复杂度,提升流程一致性与可重复性,为临床提供更加灵活、高效的影像检查方案。
该产品凭借创新设计与临床应用价值,荣获2026年iF金奖。

注:该产品目前尚未在中国上市
在医学影像流程中,人工智能的应用已覆盖检查准备、数据采集、图像重建及后处理分析等多个环节。从提升扫描一致性到优化图像质量,再到辅助临床评估,AI正成为贯穿成像全流程的重要技术支撑,推动影像诊疗向更加高效、规范的方向发展。
🔹PIQE(Precise IQ Engine)
重塑心脏成像

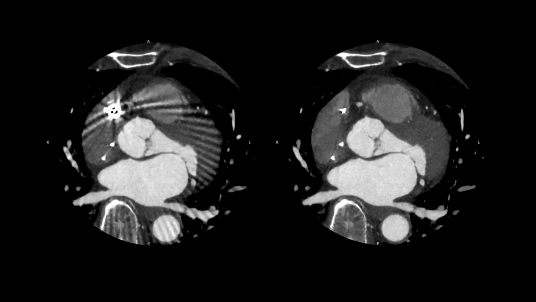
SEMAR OFF
SEMAR ON
在心血管成像中,针对支架、起搏器等金属植入物带来的伪影影响,结合PIQE超分辨重建与SEMAR金属伪影抑制技术,可在不增加辐射剂量的前提下减少金属伪影对图像的影响,提升周围软组织的显示效果,从而为复杂病例提供更清晰、可靠的影像参考。
🔹以AI为核心的
先进自动化技术“INSTINX”
重塑检查流程

在检查流程环节,以AI为核心的自动化技术“INSTINX”实现了从患者定位、扫描范围设定到图像展示的自动化与简化。基于机架内置相机识别患者体位,结合定位扫描数据自动设定扫描范围,并支持图像显示的自动布局,在提升检查效率的同时,有助于增强流程的一致性与可重复性。
←→左右滑动,查看更多
注:以上产品目前尚未在国内上市
展会现场,佳能医疗覆盖CT、磁共振、DSA、X线、超声及医疗IT的全线展品,吸引了观众们的热烈关注。
在医学影像技术持续演进的背景下,佳能医疗围绕精准诊疗需求,持续推进医学影像技术的创新发展,不断探索影像在复杂疾病诊疗中的更多可能。
未来,佳能医疗将继续依托全球技术积累与本土化创新,深化与临床机构的合作,推动影像技术在更广泛场景中的应用,为医疗健康事业的发展提供持续支持。
特别提示:
内容为针对展会定向分享
不推介任何医疗机构、医疗产品和医疗服务
仅供专业人士阅览
更多精彩内容
欢迎关注微信视频号


联影创新院长手记:不做框架的囚徒,只做生命的适配者
“中国第一”,或72亿出售
盖茨投资的手术机器人公司,退市
25亿,国家大基金首度入局
ECR 2026 创新大盘点:GPS、佳能、东软、万东……
惊艳 ECR 2026!联影多款新品欧洲首秀
全球巨头,官宣停产
器械之家:2026十大ESG创新产品
波科FARAVIEW三维系统获批,PFA技术竞争进入新阶段
器械之家:2026十大手术机器人创新产品

商务合作邮箱:qxzj@landianyiliao.com









