多模态影像检查诊断结肠癌一例分享
病例摘要
简要病史: 男性,44岁,因其家族有胰腺癌病史,故数年来反复检查腹部肝胆胰脾超声,胰腺未见明显异常,其他影像学检查不详。近两年出现腹部隐隐不适,于今年“五一”后明显加重,伴腹胀,食欲下降。无明显腹痛、发热、恶心、呕吐,无腹泻、便秘、便血,小便无异常。遂于5月9日来本中心行肝胆脾胰及泌尿系统超声检查。
就诊过程: 患者午饭后来检查,超声显示:肝肾间隙似有包块。因肠气严重不能清晰显像,要求患者第二天禁食禁水后再行检查。超声发现肿块后,进行MR、PET-CT检查。
· 病例影像资料分析
· 超声图像

图1-正常右肾

图2-肝肾间隙包块

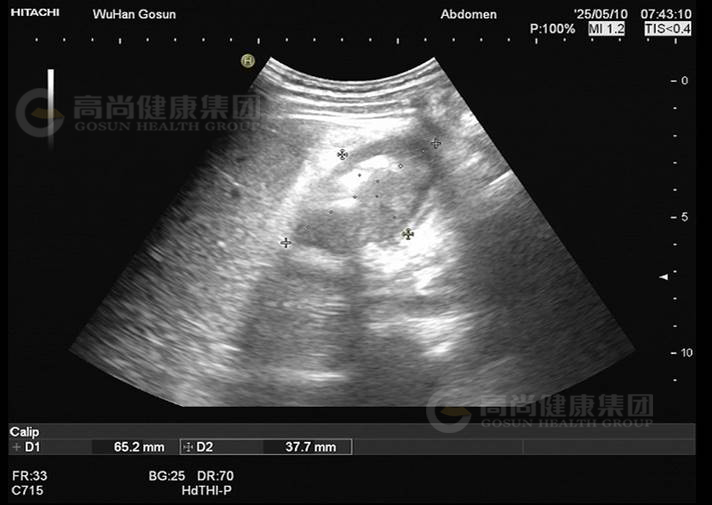
图3-肝肾间隙包块

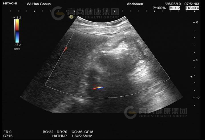
图4-肝肾间隙包块
超声表现及意见:
肝肾间隙可见不均质包块,大小约7.5×6.5×5.2cm,界欠清,轮廓欠规整,壁厚,部分切面周边见高回声晕,内回声不均匀,呈假肾征,包块内部及周边血流信号不明显。
超声提示:
肝肾间隙不均质包块,考虑结肠或腹膜来源,建议进一步检查。
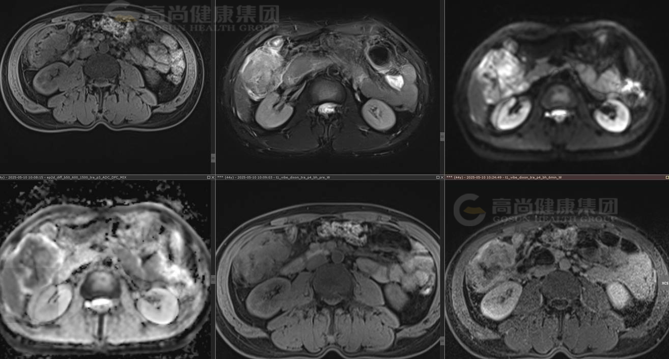
MRI图像

结肠肝曲肠壁增厚,肠腔狭窄,T1WI低信号、T2-FS高信号,DWI高信号、ADC低信号(弥散受限),增强扫描不均匀中度强化。
MRI诊断意见:
结肠肝曲占位,考虑肿瘤性病变,结肠癌可能性大,伴邻近肠系膜受侵,肠管周围小淋巴结可疑转移,建议结肠镜及PET/CT检查。
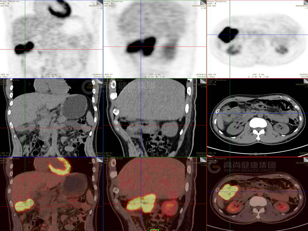
PET/CT图像

本中心PET/CT全身显像 :
升结肠见团块状放射性摄取增高影,大小约6.3cm×4.5cm×6.2cm,SUV最大值为22.6,CT于上述部位见肠壁不均匀增厚,最厚约2.3cm,浆膜层毛糙,灶周脂肪间隙模糊。
PET-CT检查结果:
升结肠团块状高代谢灶,考虑为升结肠癌,病灶侵犯肠壁全层,局部累及灶周脂肪间隙,请结合病理。
肠镜检查:

镜检结论:
1.升结肠新生物:Ca?
2.结肠息肉
3.内痔
病理检查:

术后病检结果:
(右半结肠)中分化腺癌侵及肠壁浆膜下;
(1)近端切缘:未见癌;
(2)远端切缘:未见癌;
(3)放射状切缘/系膜血管断端:未见癌;
(4)脉管侵犯:未见;
(5)神经侵犯:未见;
(6)淋巴结:肠周淋巴结25枚及送2“结肠中动脉旁”淋巴结1枚均未见癌;
(7)淋巴结外肿瘤种植(ENTD):未见;
(8)其他:慢性阑尾炎;网膜组织未见癌;
免疫组化结果:MLH1(+),PMS2(+),MSH2(+),MSH6(+),
PCK(+),CDX-2(+),Claudin18.2(-),
S-100(神经+),CD31(血管+),Trop2(40%+),
P53(散在+,野生型),Ki-67(LI约90%);
Her-2蛋白检测结果:Her-2(4B5)(0)。
结肠癌
目前全球最常见的恶性肿瘤之一
流行病学及概况
结直肠癌(CRC)是目前全球最常见的恶性肿瘤之一,据GLOBAOCAN 2022(由世界卫生组织(WHO)和美国癌症学会(ACS)联合维护的全球癌症数据库)。数据显示,全球CRC的发病人数和死亡人数分别位居第3位和第2位。根据国家癌症中心发布的2022年中国恶性肿瘤疾病负担数据,2022年CRC已成为我国发病率排名第2位的恶性肿瘤,并在癌症相关死亡中位列第4位。相关数据表明,CRC患者的生存预后与临床分期相关,其5年生存率随疾病进展明显下降。
多因素综合作用
1、遗传因素
家族遗传倾向: 约20%的结直肠癌与遗传背景有关。如果家族中有一级亲属(如父母、子女、兄弟姐妹)患有结直肠癌,其发病风险是普通人群的1.76倍至2-3倍。家族史对发病风险的影响还与患病亲属的数量和年龄有关,亲属患癌人数越多、年龄越轻,风险越高。
2、饮食因素
长期摄入过多高脂肪、高蛋白、高糖食物,低纤维素饮食:如红肉(如牛肉、猪肉、羊肉)和加工肉类,同时膳食纤维摄入不足,会增加结直肠癌的发病风险。
油煎炸食品:食物烤(炸)焦的部分(尤其是肉类食品)中可能含有杂环胺等致癌物质,长期食用可能增加患病风险。
维生素和微量元素缺乏:胡萝卜素、维生素B₂、维生素C、维生素E、硒等的缺乏,可能与结直肠癌的发生有关。
3、生活方式:
缺乏运动、肥胖、吸烟和酗酒、长期久坐、缺乏体育锻炼,会导致肠道蠕动减慢,使有害物质在肠道内停留时间延长;吸烟产生的有害物质会损害肠道黏膜;酒精可能影响肠道的正常功能,两者协同作用会进一步增加患病风险。
4、肠道疾病:
炎症性肠病:溃疡性结肠炎和克罗恩病等炎症性肠病,长期的炎症刺激可能导致肠道黏膜细胞异常增生和恶变,使结直肠癌的发病风险增加。
结直肠息肉:大肠腺瘤性息肉是CRC的重要癌前病变,息肉越大、形态越不规则、绒毛含量越高,癌变的风险越大。
5、糖尿病:
糖尿病患者的结直肠癌发病风险是健康人群的1.2至1.4倍。
6、其他因素:
年龄:结直肠癌的发病风险随着年龄的增长而显著增加,超过90%的患者发病年龄≥50岁。
临床表现及诊断
一 临床表现:
早期结直肠癌可无明显症状,病情发展到一定程度可出现下列症状:
1、排便习惯改变。
2、大便性状改变(变细、血便、黏液便等)。
3、腹痛或腹部不适。
4、腹部肿块。
5、肠梗阻相关症状。
6、全身症状:如贫血、消瘦、乏力、低热等,晚期可以出现腰骶部疼痛、黄疸、腹水等。
二 体格检查:
1、一般状况评价、营养状况评价、全身浅表淋巴结特别是腹股沟及锁骨上淋巴结的情况。
2、腹部视诊和触诊,检查有无腹部隆起、肠型、肠蠕动波,腹部是否可触及肿块;腹部叩诊及听诊检查了解有无移动性浊音及肠鸣音异常。
3、直肠指检:对疑似结直肠癌者必须常规做直肠指检,同时观察有无指套血染。
4、三合诊:对于女性直肠癌患者,怀疑肿瘤侵犯阴道壁者,推荐行三合诊,了解肿块与阴道后壁关系。
三 实验室检查:
1、血常规:了解有无贫血。
2、尿常规:观察有无红细胞、白细胞及细菌计数,结合影像学检查了解肿瘤是否侵犯泌尿系统。
3、大便常规:注意有无红细胞、白细胞。
4、粪便隐血试验:针对消化道少量出血的诊断有重要价值。
5、生化、电解质及肝肾功能等。
6、结直肠癌患者在诊断时、治疗前、评价疗效和随访时,必须检测外周血CEA、CA19-9;有肝转移患者建议检测AFP;疑有腹膜、卵巢转移患者建议检测CA125。
四 内窥镜检查:
所有疑似结直肠癌患者均推荐全结肠镜检查,但以下情况除外:
1、一般状况不佳,难以耐受。
2、急性腹膜炎、肠穿孔、腹腔内广泛粘连。
3、肛周或严重肠道感染。
内窥镜对可疑病变必须行病理学活体组织检查。
五 影像学检查:
1、CT检查
推荐CT增强扫描用于诊断和鉴别诊断结肠癌,判断结肠癌临床分期和直肠癌远处转移,评价结直肠癌新辅助或转化治疗效果及随访筛查局部复发和远处转移。评价结肠癌原发灶及结直肠癌转移瘤新辅助治疗或转化治疗效果。鉴别诊断与结直肠癌相似肿瘤及肿瘤样病变,如淋巴瘤、胃肠间质瘤、转移瘤及炎性假瘤等。
2、MRI检查
推荐盆腔MRI判断直肠癌cTNM分期;推荐上腹MRI诊断肝脏转移瘤;评价直肠癌原发灶及肝脏转移瘤新辅助或转化治疗效果,以及随访筛查局部复发。新辅助治疗或转化治疗效果。
3、超声检查
推荐直肠内置超声判断T2及以下直肠癌肿瘤分期。术前或术中行超声造影检查协助诊断转移瘤。
4、PET/CT检查
18F-FDG PET/CT可推荐为结直肠癌临床分期及评价治疗效果的备选方法,18F-FDG PET/CT有助于发现或确定其他影像方法漏诊或疑诊的远处转移病灶。
六 开腹或腹腔镜探查术:
以下情况,建议行开腹或腹腔镜探查术。
1、经过各种诊断手段尚不能明确诊断且高度怀疑结直肠肿瘤。
2、出现肠梗阻,进行保守治疗无效。
3、可疑出现肠穿孔。
4、保守治疗无效的下消化道大出血。
七 病理组织学检查:
病理活检报告是结直肠癌治疗的依据。
活检诊断为浸润性癌的病例进行规范性结直肠癌治疗。
八 术后随访的影像学方法推荐:
1、术后定期影像学检查在癌症监测中起着重要的作用,常规建议在切除后的前5年每年进行胸中部、腹部和盆腔CT扫描。
2、结直肠癌术后初次复发率约40%,且大多数会在3年内出现,可通过盆腔CT/MRI对复发分型可以帮助评估盆腔结构受侵情况、评估再次手术的可行性及帮助指导手术方式。
3、对于某些临床、结肠镜和(或)实验室检查怀疑疾病复发但既往影像学检查结果不明确或正常的患者,仍可能需要PET/CT和(或)MRI检查。
早期筛查及预防
结直肠癌的临床表现往往起病隐匿,早期可能仅以轻微腹胀或排便习惯改变等非特异性征兆表现,其症状显现时间因人而异,随着肿瘤进展,中晚期患者逐渐面临便血、肠梗阻等显著症状的侵袭。这种病程演变的隐蔽性更凸显了早期筛查的重要性——对于存在消化道异常或高危风险人群,肠镜检查作为金标准能够穿透表象直达病灶,为明确诊断和启动针对性治疗争取宝贵窗口期。
我国在天津、上海、浙江和广州等地由政府组织的全人群结直肠癌筛查结果也证明了结直肠癌筛查的效果。目前推荐的结直肠癌筛查方案主要是危险度评估和粪便潜血,若为阳性,再进行结肠镜检查。近年来粪便DNA检测可以进一步提高结直肠癌粪便初筛的效益。国外的经验还表明在医疗资源较为发达的地区直接应用3-5年1次的结肠镜检查也可以取得较好的筛查效果。
早筛:
1、粪便潜血。
2、粪便潜血阳性,行结肠镜检查。
3、粪便DNA检测。
4、3-5年1次的结肠镜检查。
预防: 与此同时,要在生活习惯方面进行预防:
1、如规律作息时间,不熬夜;
2、均衡膳食,保证足够的膳食纤维素,如蔬菜、水果、全谷物的摄入,减少红肉摄入量,适当补充钙及维生素D;
3、规律运动及控制体重,每周进行一定的中等强度运动,如快走、游泳等。
因此,早筛、早诊、早治对于CRC患者的预后至关重要。
构筑防癌屏障需双管齐下:生活习惯方面的预防、通过定期筛查实现早诊早治。
参考文献:
[1]国家癌症中心,国家肿瘤质控中心结直肠癌质控专家委员会。中国原发性结直肠癌规范诊疗质量控制指标(2022版J]中华肿瘤杂志,2022,44(07):623-627
[2]中国普外基础与临床杂志,2025, 32(6): 694-701. doi: 0.7507/1007-9424.202505086
[3]中国结直肠癌诊疗规范(2023)
