男子上网12小时后突然角弓反张、抽搐痉挛,到底咋回事?(不是光敏感性癫痫)丨医起推理吧

来源 | 医脉通
作者 | 王玉伟 庞建岗
01
我是目击者
那天,我跟兄弟“大头”窝在网吧,从午饭玩到了半夜,整整12个小时。
我俩都26岁了,自工作以后,难得这么疯一回。网上说“男人过了二十五就是六十”,我不认同,只是时间不再自由罢了。如今好不容易有机会,我们要像大学时那样痛快玩一场,追忆一去不返的青春。
“右边!来人了!”我盯着屏幕吼道。
旁边没应声,我扭头刚想骂他“坑货”,话却卡在了喉咙里。
大头的椅子在剧烈摇晃,整个人向后反弓,头怪异地拧向右侧,双眼上翻,牙关紧咬,发出“咯咯”的声响,让人头皮发麻,四肢像过电一般疯狂抽搐。刚才还操作凌厉的手,此刻在按键上不受控制地高频哆嗦。
一分钟后,抽搐终于停止,那是我人生中最漫长的一分钟。
我僵在原地,脑子里一片空白,只听见心脏擂鼓一样地狂跳。
我和网管手忙脚乱地把他从椅子中拖出来,在脏兮兮的地板上放平,语无伦次地联系了120和他爸妈,看着他被抬上担架车,再陪同他前往医院。
整整半小时后,他才醒过神来,眼神涣散地掠过我,喉咙里挤出几个含糊的音节,不像人声。
他爸妈赶来了,阿姨脸上没了血色,嘴唇哆嗦着,却一句责备的话也说不出,只有眼泪滚下来。叔叔撑着她,反复问医生,“我儿子怎么了?”
药用了,针打了,可他依旧迷糊。CT报告上写着“颅内占位性病变”,阿姨看到时,腿一软,差点栽倒。最后是叔叔红着眼睛,斩钉截铁地说:“转院!去最好的地方。”
转运床上那张熟悉的脸苍白如纸。十个小时前,我们还在为屏幕上虚拟的“炸弹”欢呼;十个小时后,一颗名叫“疾病”的炸弹,把我们炸得稀碎。
我是他最好的朋友,也是唯一一个目击者,我不相信青春会以这样的方式仓促落幕。
02
我是守夜人
我是急诊门诊护士,担架车冲进抢救区时,我迎了上去。他父母声音发颤,语无伦次地说着“网吧”、“抽风”、“忽然就不行了”。
我将患者分诊给急诊神经内科,并为患者完成基础测量:体温38.5℃,脉搏140次/分,呼吸18次/分,血压163/90mmHg。
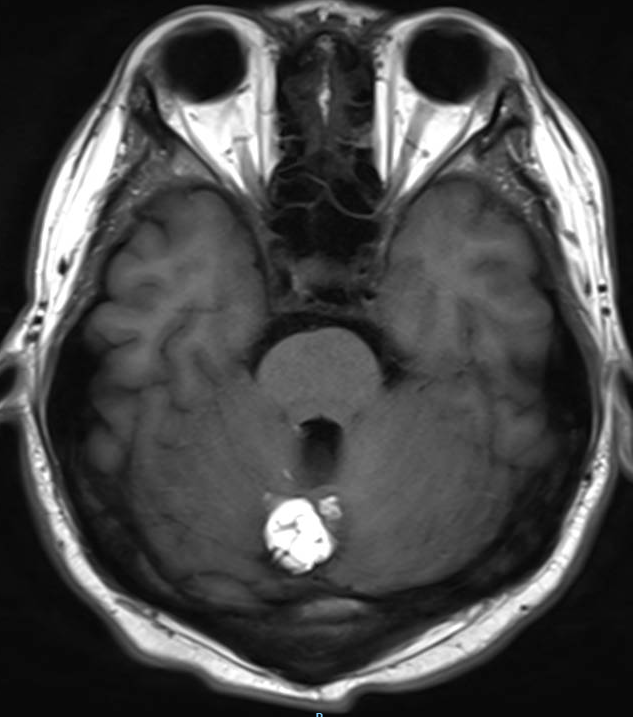
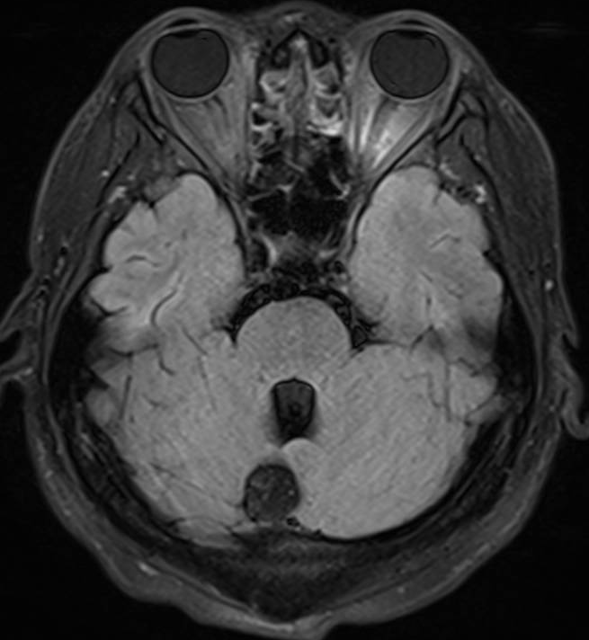
医生要求紧急做颅脑MRI,影像很快就传到了电脑上(图1-6)。医生解释,小脑蚓部占位考虑“脂肪瘤”,另有侧脑室旁白质脱髓鞘和左侧额顶叶皮质性脑炎的改变,“癫痫”可能为“继发性癫痫”。

图1 小脑蚓部占位T1WI
图2 小脑蚓部占位T2

图3 小脑蚓部占位T2压水压脂

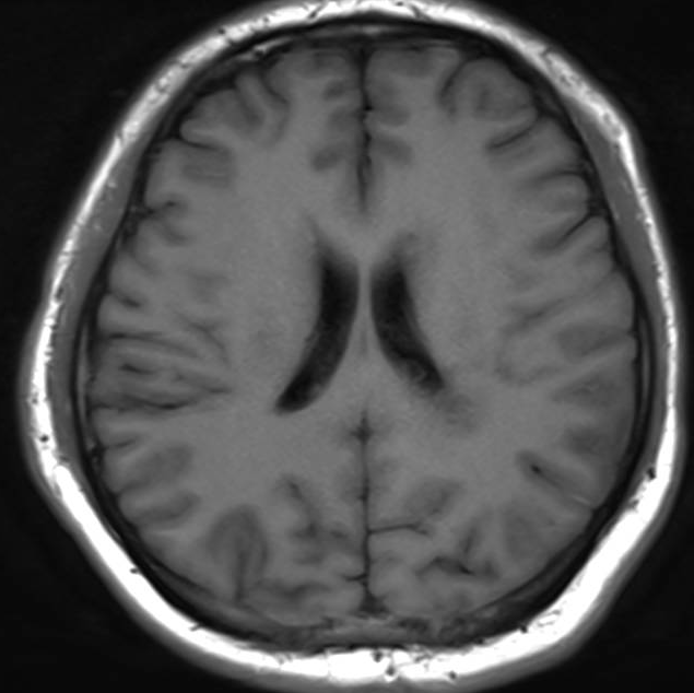
图4 侧脑室旁病变T1WI`

图5 侧脑室旁病变T2

图6 侧脑室旁病变T2压水压脂
“继发性癫痫”,这我可知道,我平常也玩游戏啊!
很多3A大作启动时,都会出现“光敏性癫痫警告”的提示,患者发病前长时间处于闪烁的屏幕前,我认为这很可能是“光敏感性癫痫”——特定频率(通常在15-20赫兹,即每秒闪烁15-20次)和特定模式(高对比度、高亮度、尤其是红黑/红蓝交替)的闪光,能过度刺激大脑视觉皮层,这种强烈的、节律性的刺激能“点燃”大脑的异常放电,并扩散到整个大脑皮层,从而诱发全面性强直-阵挛发作。
我安排护工将患者送往神经内科病房,我大概会关注这位同龄人的后续状况吧。
看着转运床消失在电梯门后,新的救护车鸣笛已由远及近,于是转身再次迎向门口的方向。此刻,我是生命通道的守夜人。
03
我是探索者
我是神经内科医师,现在由我揭晓真相。
青年男性,急性起病,全面性强直-阵挛发作,颅内多发占位。既然有颅内占位,癫痫发作很容易被误认为是占位所致的继发性癫痫。
单纯的颅内脂肪瘤极少引起急性、剧烈的癫痫发作,用一块溪中静石去解释一场海啸,动力不足。由于患者在发作前有长时间光刺激暴露史,“光敏感性癫痫”在理论上是成立的。
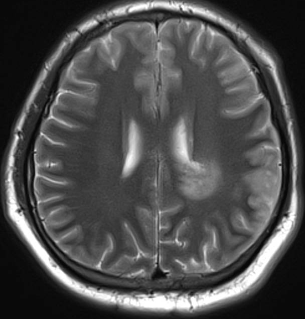
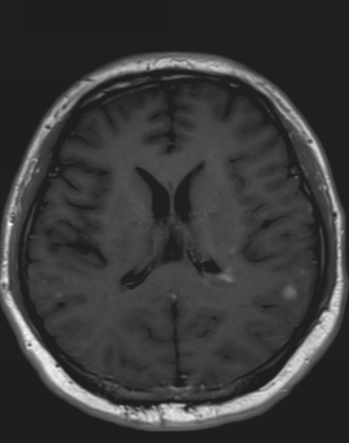
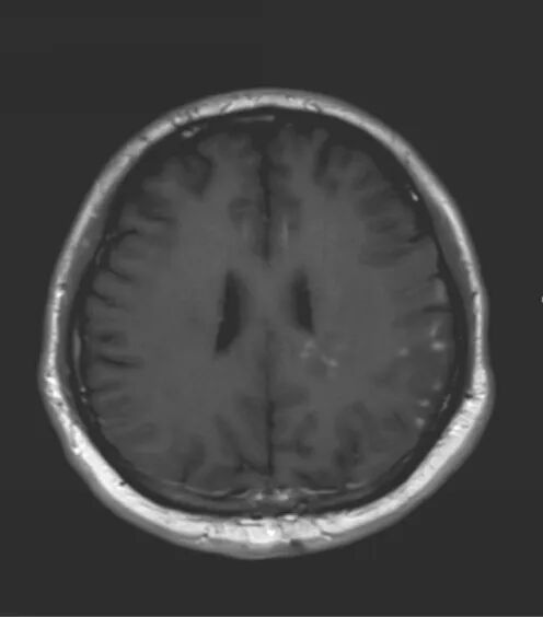
患者存在发热,不除外脑炎,我为患者安排了强化MR及腰穿。MR发现左侧侧脑室旁、左侧额顶颞叶皮层区强化后高信号(图7、8),脑脊液检查见白细胞计数及蛋白水平增高,这确认了中枢神经系统存在炎性反应。随后,关键的病因学检测回报:脑脊液MOG抗体、血清MOG抗体均为阳性。

图7 强化MR

图8 强化MR
至此,可明确诊断为“抗髓鞘少突胶质细胞糖蛋白抗体相关疾病(MOGAD)”,是不是很拗口的名字?
MOGAD是一种好发于儿童和青壮年的中枢神经系统炎性脱髓鞘疾病,常见的发作类型有视神经炎(急性、快速恶化的视力下降,严重的视野缺损和色觉减退)、脊髓炎(急性起病的运动、感觉、括约肌功能障碍)、急性播散型脑脊髓炎(儿童多见)、脑干脑炎(共济失调、复视)、脑炎和皮质脑炎(癫痫发作、发热、头痛、呕吐、局灶神经功能缺损、易激惹、意识减退)等,不同发作类型可单独或以不同的组合出现,并反复发作。
下面是MOGAD的诊断标准和治疗流程图:


幸运的是,这个年轻的身体在接受甲泼尼龙冲击后,症状迅速控制,未再发作癫痫,这也进一步印证了MOGAD的诊断。
看着患者康复离去,我又投入到新的诊治难题中。诊断的本质,是在纷繁线索中构建逻辑,将无序的症状归于明晰的病理秩序,而这不正是医生的责任和兴趣吗?
参考文献:
[1] 中华医学会神经病学分会神经免疫学组.中国髓鞘少突胶质细胞糖蛋白抗体相关疾病诊断与治疗指南(2025版)[J].中华神经科杂志,2025,58(07):704-720.
责编|Zelda
封面图来源|视觉中国


一地医保新规落地:明确救护车收费标准“爬楼费”按楼层加收 | 医脉政事儿

31岁男子头上奇痒,竟抠出两个洞,是皮肤问题还是另有隐情?丨医起推理吧
医脉通是专业的在线医生平台,“感知世界医学脉搏,助力中国临床决策”是平台的使命。医脉通旗下拥有「MedSeeker」「临床指南」「用药参考」「医学文献王」「医知源」「e研通」「e脉播」等系列产品,全面满足医学工作者临床决策、获取新知及提升科研效率等方面的需求。

☟戳这里,更有料!
