【典型病例】复发胶质母细胞瘤靶向联合免疫治疗效果显著
病史描述
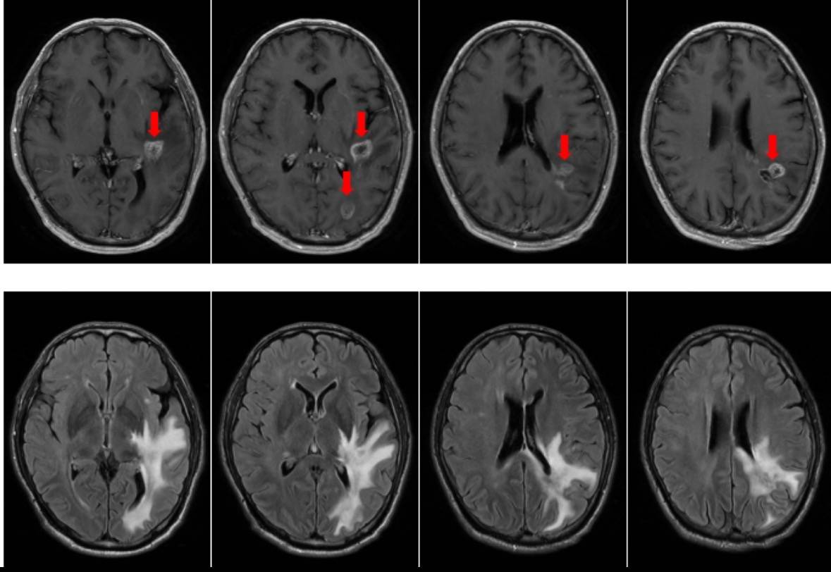
患者男性,54岁。2025年2月体检时发现左顶叶异常信号影,考虑胶质瘤可能性大。2025年3月8日行手术全切肿瘤,术后病理:(左顶)高级别胶质瘤,镜下呈胶质母细胞瘤形态,WHO 4级;建议行分子病理检测进一步明确诊断。免疫组化提示:MSH2、MSH6核表达缺失,提示微卫星不稳定。基因检测提示:MSI-H。术后行同步放化疗及替莫唑胺2周期化疗后,复查头颅核磁示颅内多发异常信号影,肿瘤复发可能性大(核磁见图1),患者出现近期记忆力下降的症状。患者为求进一步治疗就诊我科。

图1:2025-08-18头核磁提示肿瘤复发。
靶向联合免疫治疗
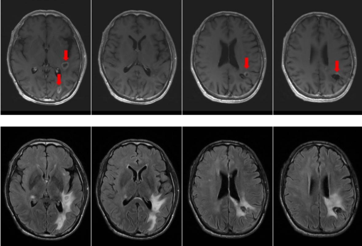
2025年08月21日患者开始于我科行化疗。治疗7周期后,2026年1月12日核磁显示颅内多发异常信号影较前增大并新增异常信号影,病灶周边水肿明显,见图2。

图2:2026-1-12头核磁显示颅内多发异常信号影较前增大并新增异常信号影,病灶周边水肿明显。
故2026年1月14日起更换靶向联合免疫治疗方案为:贝伐珠单抗+卡度尼利单抗,化疗2周期后,2026年2月26日核磁显示颅内多发异常信号,较前片缩小,周围水肿减轻(图3)。治疗期间患者未出现新增症状及明显不良反应。目前患者仍在继续治疗中。

图3:2026-2-26头核磁:颅内多发异常信号,较前片缩小,周围水肿减轻。
病例小结
胶质母细胞瘤是成人最常见的恶性脑肿瘤,该病好发于壮年人群,正值承担社会和家庭责任的关键时期,因此对患者个人及其家庭乃至社会均造成沉重打击。胶质母细胞瘤具有生长迅速、侵袭性强的生物学特性,手术切除后极易复发,临床预后极差。复发后的治疗选择有限且疗效均不理想,整体预后极差。本例患者存在错配修复蛋白表达缺失及微卫星不稳定,提示从免疫治疗中获益大,经过我科免疫治疗联合靶向治疗后效果明显。
目前首都医科大学三博脑科医院神经肿瘤化疗科关于高级别胶质瘤的临床试验正在开展中,有意者可联系我们。
敬请注意:本文仅供相关专业人员学习参考之用,文中的所有信息均不作为诊断和治疗疾病的依据。如出现文中描述的症状,请及时就医。另外,本文仅节选原文的一部分,内容可能不完整或与原文存在偏差,若需更完整的信息请参阅原文。
