Chiari畸形(小脑扁桃体下疝畸形CM)
Chiari畸形是一种先天性后颅窝发育畸形病症,核心是小脑组织向下疝出到椎管。该病有四个分型,其中Ⅰ型、Ⅱ型较为常见,Ⅲ型、Ⅳ型则相对罕见且严重。
本次学术荟萃系列通过介绍Chiari畸形的概念、解剖特点、临床症状、相关影像检查及表现,以病例分析为切入点,深入探讨该病的诊断要点,并展示MRI在其诊断方面的重要作用。
Chiari畸形 (小脑扁桃体下疝畸形CM)
先天性后颅窝发育畸形
概 述
CM(Chiari Malformations),又名阿诺德-奇阿(Arnold–Chiari)畸形,是一种以小脑扁桃体下部疝入枕骨大孔水平以下为特征的先天性后颅窝发育畸形。
本畸形女性多于男性。
Chiari畸形易因下疝的小脑扁桃体压迫延髓、后组颅神经或影响脑脊液循环,而引起多种临床症状。这些症状常不典型,易误诊或漏诊而延误病情,多数CM患者可合并有脊髓空洞症(SM)。

后颅凹及枕大孔的解刨
后颅窝由岩骨、枕骨及小脑幕包绕而成,主要容纳小脑、脑干、第四脑室、桥小脑角池、后颅底前界是颞骨岩部和枕骨斜坡;后界是枕骨和颞骨乳突部;包括枕骨大孔、舌下神经管和颈静脉孔等重要孔道。

径线测量
麦氏线(McRae线):枕骨大孔开口前后缘之间的连线。齿状突顶端应平此线或位于其下。从齿状突顶端画此线的垂线,应与此线的前1/3相交。如齿状突超过此线,可诊断颅底凹陷;如小脑扁桃体疝入枕骨大孔平面以下5mm,可诊断Chiari畸形。

临床表现
症状:该畸形常见的症状为疼痛,一般为枕部、颈部和臂部疼痛,呈烧灼样放射性疼。少数为局部性疼痛,通常呈持续性疼痛。颈部活动时往往疼痛加重。其他症状有眩晕、耳鸣、复视、走路不稳及肌无力等。
体征:常见的体征有下肢反射亢进和上肢肌肉萎缩,约50%以上的病人有感觉障碍,上肢常有痛、温觉减退,而下肢则为本体感觉减退。眼球震颤、软腭无力伴呛咳较常见。视乳头水肿罕见,而有视乳头水肿者多同时伴有小脑或桥脑肿瘤。
合并症:脊髓空洞症;脑积水;枕骨大孔区畸形。
病 因
· 原发性(先天性):绝大多数Chiari畸形是先天性的,意味着患者在出生时就有这种结构异常。具体原因尚不完全清楚,可能与胎儿期中胚层发育缺陷导致后颅窝空间狭小有关。有时有家族聚集性,提示可能存在遗传因素。
· 继发性(获得性):少数情况可由其他因素引起,如腰椎或腹腔穿刺多次引流脑脊液、颅脑外伤、颅内肿瘤或感染等,导致脑组织被“拉”或“推”而向下移位。这有时被称为“继发性Chiari畸形”或“Chiari综合征”。
影像检查
MRI检查是优选检查方法,能显示各种改变与伴发畸形,矢状位可清晰显示小脑扁桃体下疝及其程度,CT扫描及CT椎管造影也可用于检查Chiari畸形,CT薄层扫描及三维重建便于观察伴发的颅颈交界区骨骼畸形。
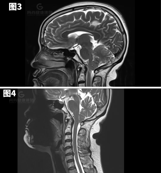
· 病例1-医学影像检查资料 ·
MRI图像




图像所见
图1-7示小脑扁桃体向下疝出约8mm。


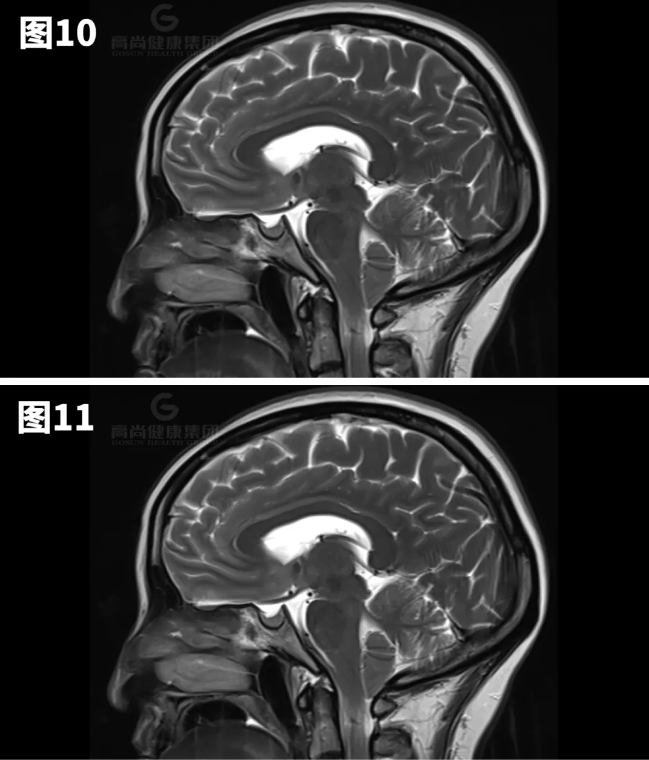
图像所见
图8-11示小脑扁桃体向下疝出约7mm。
影像学表现
矢状位:扁桃体延伸到枕骨大孔下方,脑干压迫斜坡。
横断位:移位的扁桃体导致周围脑脊液闭塞、髓质前移以及脊髓动脉和椎动脉受压。
诊 断
优选颅脑及脊柱MRI:特征性表现是小脑扁桃体向下疝入椎管内,并可伴有脊髓空洞。
在MRI矢状位将小脑扁桃体疝入枕骨大孔平面以下5mm(单侧5mm、双侧3mm)作为有病理改变的标准。
3-5mm为界限性正常,3mm以下且不合并临床症状通常认为是正常的生理改变。
分 型
Chiari分型主要分为4种类型。
1、Chiari I型--常见
小脑扁桃体向下疝出到椎管内,但脑干位置正常。
• 多见于儿童及成人。
• 可能多年无症状;
• 通常不伴有其他严重先天缺陷。
2、Chiari II型--经典而严重
小脑蚓部和脑干都向下疝出,第四脑室变长。
• 几乎总是与“脊髓脊膜膨出(Myelomeningocele)”同时发生(一种严重的开放性脊柱裂);
• 在婴儿期或儿童期就被诊断
• 症状更严重,常伴有脑积水。
3、Chiari III型--严重、罕见
小脑和脑干疝出到颈部或后脑勺的囊性膨出中。
• 伴有很高的神经功能缺损和死亡率;
• 通常在出生时即可发现。
4、Chiari IV型--特别罕见
小脑发育不全或缺如。
• 严格来说不属于“疝出”范畴;
· 常于婴儿期发病;
• 通常危及生命。
治疗
无症状时无需治疗,有症状的患者积极进行手术治疗,防止病情进一步发展。手术目的:扩大后颅窝而减轻各种组织间压迫,重建枕骨大孔区的脑脊液循环通畅。脊髓空洞积水严重,须分流,保证枕大孔水平脑脊液循环通畅。
