填问卷1000+份礼品包邮送!|Cytiva新“膜”法,让重复实验止于一张好膜
发布时间:2026-04-07来源:生物通
以卓越,突破精准与高效的边界
以实力,铸就理想实验的标杆
3月18日,2026思拓凡经销商大会盛大启幕。
一款为Western Blotting理想实验而铸就的重磅新品——Cytiva Elite PVDF转印膜同步上市,以多维度的技术创新,开启WB实验新篇章,为蛋白研究科研领域带来全新可能。
扫描下方二维码
填写问卷赢好礼,1000+份礼品包邮送。
当象征科技之光的“魔杖”挥动,一场关于蛋白研究未来的重要时刻也随之发生:
新品揭幕瞬间聚焦全场目光,凭借独特的性能与技术突破,Cytiva Elite PVDF转印膜出场即点燃现场氛围!
本次新品亮相,不仅是品牌在蛋白免疫印迹耗材领域的又一次硬核创新,更是Cytiva思拓凡赋能科研进程、成就科研人才这一承诺的再次坚实落地。
高背景、弱信号、结果不可重复……专注蛋白研究探索的你,是否总会一不注意,就误入WB实验翻车“艺术现场”?
Cytiva此次全新推出的Elite PVDF转印膜,历经严苛研发与技术验证,凭借优异的蛋白结合能力、低背景信号以及稳定可靠的重复性表现,帮助科研人员在复杂实验条件下获得理想的实验结果,打造WB实验的“避坑神器”,让实验效率原地起飞,加速蛋白研究的探索步伐。
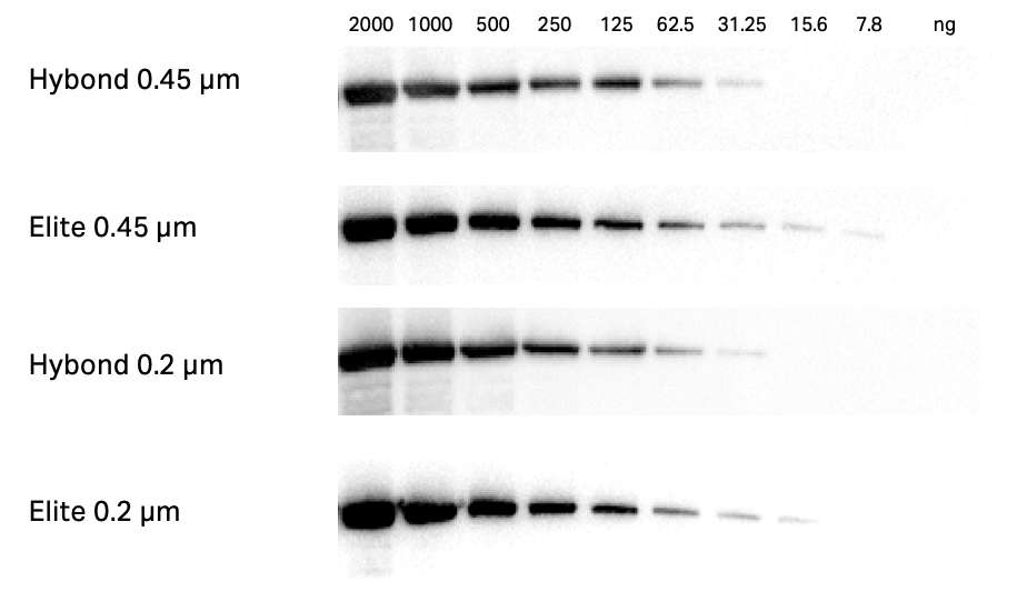
在相同实验条件下,相比于原Cytiva Amersham Hybond PVDF膜, Elite PVDF转印膜能够曝光出低至7.8 ng的蛋白条带。
图1 转铁蛋白Transferrin在Hybond和Elite转印膜的梯度稀释Western Blot实验
新产品Cytiva Elite PVDF转印膜具有更低的背景信号。对于Western Blot实验而言,干净的背景是获得清晰条带的关键条件。尤其在检测低丰度蛋白时,背景越低越有利于提高信噪比,使弱条带更易被识别、更加突出。
图2 Hybond和Elite转印膜在不同通道的背景信号
对两种转印膜分别在UV、Cy2、Cy5同时进行2S曝光,获得的图片分析其平均信号值
新产品Cytiva Elite PVDF转印膜在上市前经历了严苛的适用性验证。由多位实验操作人员在不同实验环境中,分别采用多品牌湿转/半干转装置、不同的电压与电流设置、多时长转印方案,并搭配多种来源的一抗、二抗及化学发光试剂对不同目的蛋白进行测试。
无论实验条件如何变化,印迹膜均展现出稳定可重复的表现:条带清晰锐利、信号梯度分明、背景低且可重复性高。
Cytiva Elite PVDF转印膜在“剥离—再孵育”流程中的表现突出,优异的膜面结构与可靠的蛋白结合性能,有效提升Western Blot剥离-再孵育实验的成功率,为研究者带来更灵活的实验选择。
图3 Hybond和Elite转印膜的剥离—再孵育实验
此外,Cytiva Elite PVDF转印膜应用范围广泛,可适配化学发光/荧光Western Blot蛋白免疫印迹、斑点/狭缝印迹、氨基酸分析、核酸印迹等多种实验,兼容丽春红、考马斯亮蓝、氨基黑等多种染色方式,全场景适配实验需求,为研究者带来更灵活的实验选择。
尊敬的科研工作者/实验室负责人:
您好!感谢您参与本次调研。Cytiva (思拓凡)推出的 Cytiva Elite PVDF 转印膜,致力于帮助研究者在复杂的实验条件下依然获得理想的实验结果,减少重复时间所需的时间和精力。1 分钟完成问卷即有机会获得电动牙刷、折叠键盘、三合一充电线等惊喜好礼!
每位用户不重复获奖,以最高值礼品为准;若指定礼品派送完,Cytiva(思拓凡)有权决定用等值的其他礼品代替。
仅针对涉及 WB 实验相关科研用户,请务必按真实信息填写,如发现问卷信息乱填或信息有误,则默认放弃礼品,经核实后,中奖信息将定期公布,并于次月中旬安排寄送。
调研时间:即日-2026 年 12 月 31 日
探索无界,创新不止。未来Cytiva思拓凡也将携手合作伙伴,以更前沿的技术、更优质的产品、更专业的服务赋能科研创新,让每一位科研人都能轻松做实验,高效出成果,推动蛋白研究领域不断向前!
点击阅读原文,填写问卷赢好礼,1000+份礼品包邮送!
转载说明:本文系转载内容,版权归原作者及原出处所有。转载目的在于传递更多行业信息,文章观点仅代表原作者本人,与本平台立场无关。若涉及作品版权问题,请原作者或相关权利人及时与本平台联系,我们将在第一时间核实后移除相关内容。