血氧35%、呼吸衰竭!元凶竟是口腔里的正常菌属?这些影像学信号不容小觑 | 识图寻踪
来源 | 医脉通急诊重症科
患者,男,47岁,既往有慢性丙型肝炎病史,本次因呼吸困难加重伴发热和肌痛2天就诊于急诊科。
入院时,患者处于严重呼吸窘迫状态(脉搏137次/分钟,呼吸40次/分钟,体温37.7°C,室内空气下血氧饱和度为35%),伴发绀和辅助呼吸肌参与呼吸。因低氧血症,急诊医师为患者紧急行气管插管。
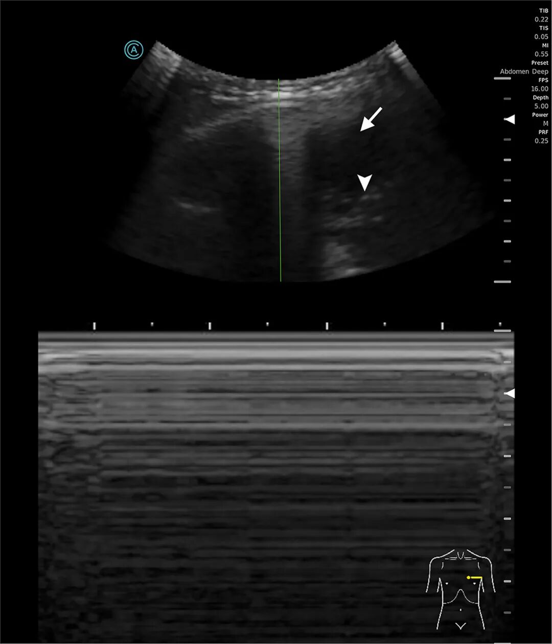
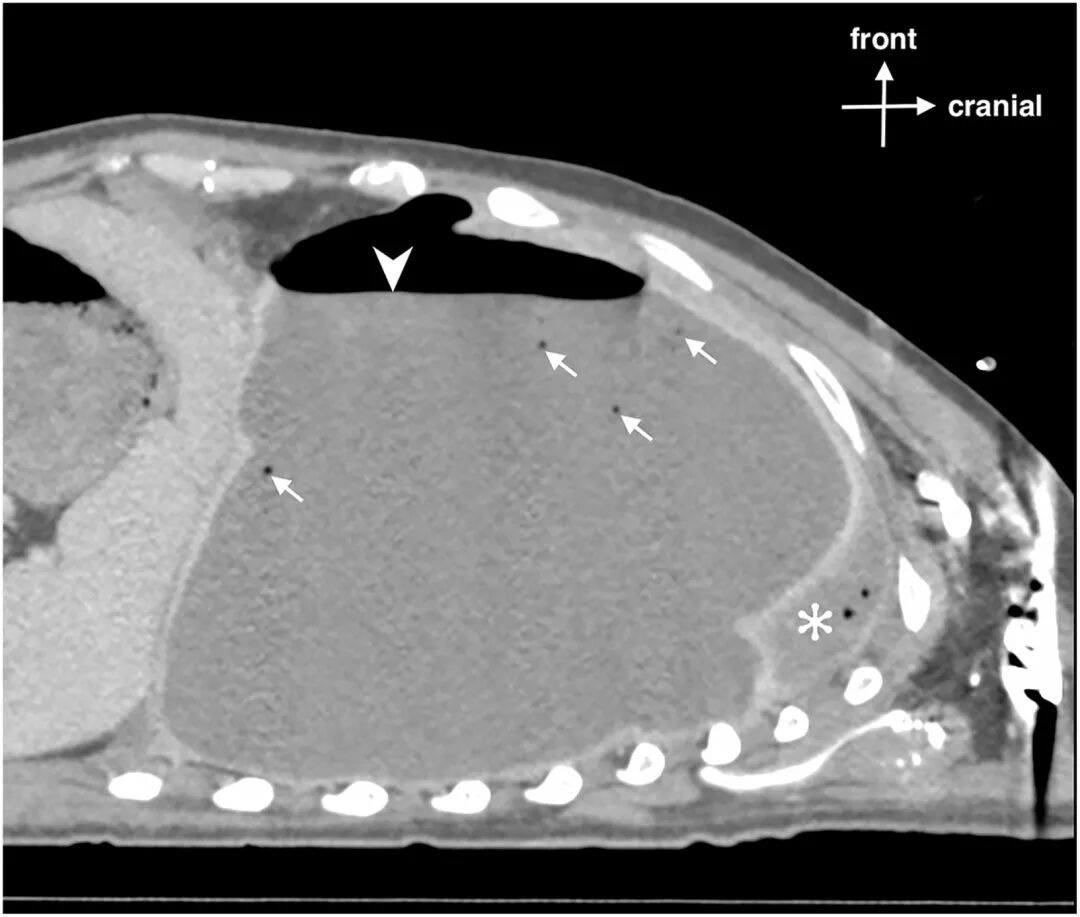
行床旁超声(图1)显示左侧大量胸腔积液,可见浮游物,且肺滑动征消失。计算机断层扫描(CT)证实左侧广泛脓气胸伴纵隔移位(图2)。
胸腔闭式引流引流出1500ml脓性液体。胸腔积液分析显示:白细胞计数为336,838/μL,乳酸脱氢酶48,553 U/L,葡萄糖3 mg/dL,可见革兰氏阴性菌。甲型流感病毒聚合酶链反应检测呈阳性。胸腔积液培养检出口腔普雷沃菌。

图1:左侧胸廓M型超声

图2:胸部增强CT矢状位重建图像
结合患者症状及辅助检查,导致患者呼吸困难伴发热的原因是什么?后续如何治疗?
诊断:脓气胸。

图1超声显示气胸时平流层征(条形码征)。由于肺滑动征消失,M型超声图像全程表现为均匀的水平线(正常沙滩征模式消失)。胸膜线显示为清晰的高回声水平线。在B型图像右侧可见低回声胸腔积液(箭头)及游离气体(三角箭头),符合脓气胸表现。肺滑动征消失同时合并可见胸腔积液提示复杂胸膜病变。图2显示左侧大量胸腔积液,并可见气液平面(三角箭头),提示胸膜腔内存在游离气体。非重力依赖性游离气体(箭头)在积液最上方形成清晰、光滑的气液界面,符合液气胸(胸腔积液合并气体蓄积)表现。塌陷的左肺向上受压(星号)。上述表现符合脓气胸伴大量胸腔积液。
确诊后患者接受头孢哌酮-舒巴坦治疗,并接受机械通气5天。经过14天抗生素治疗联合胸腔闭式引流后,患者完全康复。
脓气胸是指脓胸与气胸并存,属临床急危重症。虽然甲型流感后继发细菌感染常见,但厌氧菌(如口腔普雷沃菌)感染较罕见。该菌属于口腔菌群。发生易位时可引发严重肺部感染,在免疫功能低下宿主中尤为显著。
超声可见胸腔积液伴浮游物征且肺滑动征消失,提示脓胸。厌氧菌产生的气体可解释气胸的形成。
信源:Chen C. Man With Respiratory Failure. Annals of Emergency Medicine, 87, 532-533
责编|Zelda
封面图来源|视觉中国


又一省启动医保基金飞行检查工作!新增3个重点领域 | 医脉政事儿

肠道急症后的连锁迷局:反复波动的炎症指标竟牵出了这个真相……丨医起推理吧
医脉通是专业的在线医生平台,“感知世界医学脉搏,助力中国临床决策”是平台的使命。医脉通旗下拥有「MedSeeker」「临床指南」「用药参考」「医学文献王」「医知源」「e研通」「e脉播」等系列产品,全面满足医学工作者临床决策、获取新知及提升科研效率等方面的需求。

☟戳这里,更有料!

