登上国际期刊!上海医生发现“百万分之一”罕见骨病
发布时间:2026-04-11来源:医学界
上海专家报告一例发病率仅百万分之一的罕见遗传性骨病,相关研究已于近日在国际眼眶病领域权威期刊Orbit在线发表。
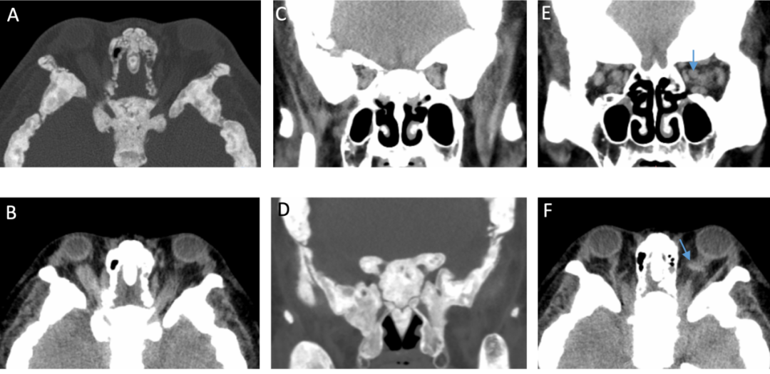
近日,“医学界”从上海交通大学医学院附属第九人民医院(下称“九院”)获悉,该院诊断出一例发病率仅百万分之一的罕见遗传性骨病。据了解,这是一名年轻女性,因双眼突出及视力下降,前往九院眼科就诊。除眼部异常外,她还同时伴有长期四肢骨痛、听力下降等全身表现。接到患者后,九院眼科迅速组织内分泌科、分子诊断科、骨科、影像科、耳鼻喉科等开展多学科联合会诊,最终确诊为Camurati-Engelmann病(进行性骨干发育不良)。该病例研究已于近日在国际眼眶病领域权威期刊Orbit在线发表。据介绍,患者以双侧眼球突出伴视力下降为主要表现,同时存在长达15年的四肢骨痛及听力进行性下降。曾于外院诊断为甲状腺功能减退症及性腺功能低下。眼科检查发现,患者存在双眼上方视野轻度缺损,伴有视神经纤维层变薄。此外,眼眶CT还提示患者的视神经受压。CT显示,患者双侧眼眶骨壁弥漫性增厚,眶尖区域明显狭窄,同时可见视神经管变窄及眼上静脉扩张(见下图蓝色箭头)。这些改变提示,眶尖拥挤导致视神经受压,静脉回流受阻可能加重眶内压力,进而影响视神经供血及视觉功能。进一步全身X线检查显示,患者全身多处长骨存在双侧对称性骨干皮质增厚、骨性膨大,提示疾病并非局限于眼眶,而已经累及全身骨骼系统。从家系图可以看出,患者家族中共有包括其母亲的9名成员存在类似表现,呈现明显的家族聚集现象,提示该疾病的遗传背景。基因检测进一步证实,患者及其母亲均携带TGFB1基因致病性变异。该基因编码转化生长因子β1,在骨重塑调控中发挥关键作用,其异常可导致骨形成与吸收失衡,从而引发特征性骨干增厚。结合临床表现、血液学、影像学及遗传学证据,最终确诊为Camurati-Engelmann病。经多学科会诊,鉴于患者目前视力情况尚稳定,优先针对骨代谢异常及内分泌紊乱予以系统性治疗,并进行密切随访视功能变化。若随访过程中出现进行性视力下降或视神经损伤加重,可考虑行眼眶减压术及视神经减压术,缓解视神经压迫。值得注意的是,患者母亲在妊娠及分娩后症状曾出现明显缓解。类似现象在既往个案报道中亦有描述。提示疾病可能与激素水平变化或免疫调节机制相关,但具体机制仍有待进一步研究验证。研究作者介绍,Camurati-Engelmann病是一种罕见的常染色体显性遗传性骨代谢疾病,主要由TGFB1基因突变引起,发病率约为1/100万。其典型特征为长骨骨干皮质对称性增厚及骨重塑异常。典型临床表现为四肢骨痛、肌无力及步态异常,可伴随内分泌功能异常等全身表现。随着疾病进展,病变可累及颅骨与颅底结构,导致头痛、听力下降及视功能损害。该病临床表现异质性较大,容易造成误诊或漏诊,临床上通常需开展多学科联合诊疗,以明确诊断并指导后续治疗。上海交通大学医学院附属第九人民医院眼科周慧芳教授与内分泌科乔洁教授担任共同通讯作者,眼科博士研究生雷超宇为第一作者。分子诊断科赵双霞副研究员及眼科李寅炜副主任医师共同参与了疾病诊治和研究指导。
参考文献:
[1] Lei C, He Z, Liang Y, et al. Camurati-Engelmann disease with bilateral proptosis and optic neuropathy: a case report and literature review. Orbit. Published online April 8, 2026. doi:10.1080/01676830.2026.2650802[2] De Vits A, Keymeulen B, Bossuyt A, Somers G, Verbruggen LA. Progressive diaphyseal dysplasia (Camurati-Engelmann's disease). Improvement of clinical signs and of bone scintigraphy during pregnancy. Clin Nucl Med. 1994;19(2):104-7.
*“医学界”力求所发表内容专业、可靠,但不对内容的准确性做出承诺;请相关各方在采用或以此作为决策依据时另行核查。
转载说明:本文系转载内容,版权归原作者及原出处所有。转载目的在于传递更多行业信息,文章观点仅代表原作者本人,与本平台立场无关。若涉及作品版权问题,请原作者或相关权利人及时与本平台联系,我们将在第一时间核实后移除相关内容。