顶盖vs被盖:不同位置的中脑肿瘤有何不同?
脑干区肿瘤是一组发生于中脑、脑桥及延髓,并可向邻近小脑、颈髓区域发展的异质性病变。这类肿瘤在儿童中枢神经系统肿瘤中占比约为10%-20%,在成人中则占1.5%-2.5%。从病理类型看,最常见的是脑干胶质瘤,此外还包括海绵状血管瘤、转移性肿瘤以及淋巴瘤等。
在发表于Springer Nature Switzerland AG 2019上的《Brainstem Tumors in Children》文章详细阐述了中脑肿瘤、桥脑肿瘤、延髓肿瘤等不同类型儿童脑干肿瘤的临床症状、诊断方法、分型、治疗办法及预后等,可为国内外的小儿脑干肿瘤患者治疗提供国际标准的参考。本文则介绍脑干中脑区域多发的儿童肿瘤类型及相关的治疗解读。
中脑顶盖胶质瘤
1.临床症状: 中脑顶盖胶质瘤靠近中脑导水管,所以通常会导致梗阻性脑积水。儿童常常表现为颅内压增高的相关症状,如视乳头水肿,恶心、呕吐、头痛、视力改变、眼球活动障碍等,也有少数患者表现出共济失调、锥体束功能障碍或其他颅神经麻痹,包括眼球震颤、肢体颤动、复视和帕利诺综合征。
2.诊断方法: MRI是诊断这些肿瘤的金标准。由于病变与周边脑组织密度大概相同,CT可能经常检查不出来这些病变。在 T2 和 Flair MR 图像上可以更清楚地看到顶盖肿瘤,在这些图像中可以看到典型的导水管周围高信号。在大多数情况下,顶盖肿瘤是非强化病变,然而,有时候,它们也可能是背侧外生性、囊性且体积较大。如图3所示。
图3:13 岁男孩,巨大非典型顶盖胶质瘤,他患有 1 型神经纤维瘤病NF1,出现头痛和呕吐。(a) 矢状位增强 T1 MRI 显示后颅窝巨大囊性占位性病灶,位于顶盖区中心(箭头)。(b) 轴位 MRI增强MRI 显示顶盖和第四脑室的受累程度(箭头)。(c) 随后进行的后颅窝开颅手术,肿瘤囊肿的引流,并切除囊肿包膜,在这张 T1 加权增强 MRI 扫描中可见顶盖部轻微的变形(箭头)。(d) 术后 T1 加权轴位 增强MRI证实肿瘤起源于顶盖部,肿瘤切除,占位效应解除(箭头)
3. 临床分类: 中脑顶盖肿瘤根据 MR 表现,随后的神经内窥镜、组织病理学和术后临床表现可分为三组。
第1组顶盖肿瘤在 MRI 上通常表现为球形状顶盖,T1 加权图像上表现为等密度, T2 加权图像上无钆螯合物对比剂的情况下表现为高密度。
第2 组顶盖肿瘤与第 1 组的生长方式相似,沿着中脑导水管外生型生长,进一步延伸到中脑被盖部和间脑。
第3 组顶盖肿瘤通常表现为较大的病灶,在 T1 加权和T2 加权钆螯合物对比剂增强图像上表现为混杂强度。这些肿瘤通常表现位外生型生长到中脑导水管和第三脑室。
4 . 治疗方法: 对于非典型的顶盖肿瘤表现出连续性生长和强化,可能需要神经外科治疗手段,通常是幕下小脑上入路或枕部经小脑幕入路。有时,后一种类型的顶盖肿瘤可能具备调强放射治疗(IMRT) 或化疗的适应症。
5. 预后/生活质量: 预后通常为非常好,尽管可能需要终生监测脑积水。
中脑被盖肿瘤
1. 临床症状: 被盖肿瘤是局灶性中脑肿瘤,通常出现在 14 岁以下的儿童中。它们会由于对单侧被盖和皮质脊髓束的占位效应,从而引起偏瘫、动眼神经麻痹和共济失调。大多数患者被诊断前症状可以持续到 6-12 个月。有时,可出现单侧震颤,特别是在那些病变延伸到基底节和丘脑的肿瘤中。
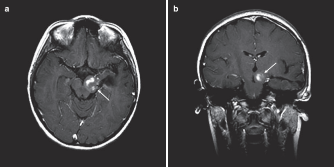
2. 诊断方法: 选择的成像方式是核磁共振。在对比剂增强后,被盖肿瘤通常均匀强化(图 4)。他们可以很大体积地占据整个被盖部,并且可因Monro孔闭塞而引起脑积水。

图4:12 岁女孩,进行性右侧肢体无力和共济失调3月。(a) 轴位T1 MRI 显示占位性病变占据脑干左侧被盖区(箭头)。(b)增强后,病灶明显均匀强化。(c) 冠状位T1 MRI增强后显示起源于左侧中脑被盖区的巨大病变,延伸到丘脑。有时,这些病灶被称为“丘脑大脑脚”病变。(d) 矢状位 T1 MRI增强后显示典型的局灶性中脑胶质瘤,中心强化。
3. 临床分类: 中脑被盖肿瘤没有统一的分期或分类系统。相反,众所周知,这些病变可能从被盖涉及丘脑,有时被称为“丘脑大脑脚”病变。
4 .治疗方法: 局灶性被盖肿瘤在手术入路和长期管理方面给神经外科医生带来了巨大挑战。大多数病变是低级别胶质瘤,可进行传统框架或无框架立体定向活检。可选择的手术入路包括经外侧裂入路、经颞入路或经胼胝体入路,具体取决于肿瘤的大小及其对软脑膜或脑室表面的影响(图5)。最佳的神经外科切除术是借助神经导航,尤其是MR上的弥散张量成像序列、术中神经导航和术中MRI 扫描。手术的目标是达到肿瘤的完整全切。如果无法全切,那么可以考虑特定的中线低级别胶质瘤药物的化疗试验。有时 BRAF 基因可能在低级别星形细胞瘤中发生突变或融合,这种分子表现可以为靶向药物治疗提供机会。

图5:一位儿童脑桥胶质瘤的术后。该病例使用左侧颞中回入路,在颞部开颅手术后切除病灶。神经导航用于识别肿瘤的边界及关键神经组织定位,用穿孔锥来减少病灶体积。(a) 轴位 T1增强 MRI 显示肿瘤的轨迹及占据左侧被盖的肿瘤小残留。(b)冠状位增强 MRI,描绘了从颞中回通向中脑的肿瘤轨迹和小残留。该患者后续进行了化疗,不需要再次手术。没有新的神经功能缺损,但术后2周出现短暂性语言障碍。
5.预后/生活质量: 患有局灶性中脑肿瘤的儿童可以在积极的神经外科切除术后表现非常好。如果术后有残余肿瘤并被证实的再生,那么对于年龄较大的儿童,可以考虑靶向化疗、传统化疗或放射治疗等几种选择。通过最大程度的安全切除术,大多数局灶性中脑肿瘤的儿童可以过上正常的生活。由于存在复发的可能性,强烈推荐连续 MR 复查随访。总的来说,患有局灶性中脑肿瘤的儿童预后良好,90%或以上的患者可达到5 年生存时间。
