Adv Sci:山东大学郝晶/肖云玲发现三阴性乳腺癌转移治疗的潜在靶点
肺转移是三阴性乳腺癌(TNBC)患者死亡的主要原因。肿瘤细胞与血管内皮细胞(VECs)之间的相互作用在肿瘤转移过程中发挥关键作用。Sohlh2 是乳腺癌进展中已知的抑癌基因,但其在血管内皮细胞与肿瘤细胞交互作用中的功能尚不明确。
2026年3月23日,山东大学郝晶及肖云玲共同通讯在
Advanced Science(IF=14.1)
在线发表题为
PRMT5/Sohlh2/Sirt1 Signaling Pathway in Vascular Endothelial Cells Modulates Lung Metastasis of Triple-Negative Breast Cancer
的研究论文。
组织芯片结果显示,临床三阴性乳腺癌患者血管内皮细胞中Sohlh2低表达与不良预后及转移相关。功能研究表明,在内皮细胞中过表达Sohlh2可抑制三阴性乳腺癌细胞的黏附与跨内皮迁移,减轻肿瘤细胞诱导的内皮细胞衰老、通透性增加及炎症反应。
在内皮细胞中特异性敲入Sohlh2能够抑制三阴性乳腺癌的肺转移。此外,机制研究显示,Sohlh2通过促进血管内皮细胞中Sirt1的转录,抑制NF-κB信号通路的激活。PRMT5介导的Sohlh2精氨酸甲基化,可促进CUL4B介导的Sohlh2泛素化与降解,进而削弱Sohlh2在内皮细胞中的作用。
综上所述,本研究证实血管内皮细胞中的PRMT5/Sohlh2/Sirt1信号轴在调控三阴性乳腺癌肺转移中发挥关键作用,提示该信号通路可作为三阴性乳腺癌转移治疗的潜在靶点。

三阴性乳腺癌(TNBC)是一类不表达雌激素受体(ER)、孕激素受体(PR)和人表皮生长因子受体2(HER2)的特殊乳腺癌亚型,约占所有乳腺癌病例的15%–20%。与其他乳腺癌亚型不同,TNBC侵袭性强、组织学分级高,且易发生早期复发和转移。
由于缺乏精准治疗靶点,化疗及辅助治疗效果有限,导致TNBC患者预后较差。由于缺乏精确的治疗靶点,化疗和辅助治疗效果较差,导致TNBC预后较差。因此,阐明TNBC肺转移的分子机制并阻断其肺转移,是临床上亟待解决的问题。
乳腺癌转移是一个复杂的过程,涉及肿瘤细胞从原发部位转变为间充质上皮。在肿瘤细胞与浸润免疫细胞分泌的细胞因子协同作用下,肿瘤细胞穿过淋巴管壁或血管壁,经淋巴循环或直接进入血液循环。
在血液循环中存活的肿瘤细胞会再次穿透血管壁,抵达远处转移部位并持续增殖,最终形成转移瘤内皮细胞(ECs)在肿瘤微环境及转移灶形成中发挥关键作用。内皮细胞与肿瘤细胞的相互作用是肿瘤转移的决定性因素,这一过程包括肿瘤细胞黏附于内皮细胞、破坏内皮屏障功能、跨内皮迁移侵入深层组织。然而,调控上述相互作用的分子机制目前尚未完全阐明。
近期研究证实,肿瘤细胞可通过不同信号通路分泌释放炎症细胞因子、趋化因子、黏附分子,激活血管内皮细胞(VECs)的炎症反应,加剧血管内皮老化并增加血管通透性,进而促进肿瘤转移。已有研究表明,藏红花素可通过靶向NF-κB、阻断TNFα/NF-κB/VEGF信号通路,抑制血管生成及结直肠癌细胞转移。
乳腺癌细胞中转录因子c-Myb过表达,可降低循环肿瘤细胞的CCL2分泌量,抑制血管内皮细胞中CCR2信号通路激活,从而减少乳腺癌细胞的肺转移。
Sirt1是一种依赖烟酰胺腺嘌呤二核苷酸(NAD+)的去乙酰化酶,可通过对组蛋白或非组蛋白进行去乙酰化修饰调控基因表达,参与多种细胞生命活动的调控。越来越多研究表明,血管内皮细胞中特异性高表达的Sirt1可抑制氧化应激及高糖诱导的内皮细胞老化,延缓年龄相关性血管衰老。
Sirt1可通过对NF-κB亚基RelA/p65的第310位赖氨酸进行去乙酰化,抑制NF-κB复合物的转录活性。NF-κB信号通路激活可上调血管内皮生长因子A(VEGFa)表达,增加血管内皮通透性,促进炎症细胞浸润与肿瘤细胞转移。
血管内皮Sirt1/NF-κB信号通路是否参与调控乳腺癌肺转移,目前尚未见相关报道。由此可见,抑制肿瘤细胞诱导的血管内皮细胞炎症反应、增强血管内皮屏障功能,或可成为治疗肿瘤转移的新策略。

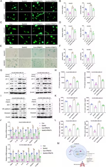
PRMT5能减弱Sohlh2介导的VECs与TNBC细胞之间的相互作用(摘自
Advanced Science
)
精子发生与卵巢发生特异性碱性螺旋-环-螺旋蛋白2(Sohlh2)属于碱性螺旋-环-螺旋(bHLH)转录因子家族,该家族还包括MyoD、c-Myc、Twist等基因。这类转录因子可结合下游靶基因的E-box(CANNTG)结合位点,调控靶基因表达,参与多种生物学过程,是胚胎发育与肿瘤发生过程中的关键基因。
近期研究发现,Sohlh2在血管内皮细胞中表达,且在三阴性乳腺癌转移组织的血管中表达水平显著降低,表明Sohlh2可能参与调控三阴性乳腺癌肺转移。
本研究探讨了Sohlh2在血管内皮细胞与三阴性乳腺癌细胞相互作用及三阴性乳腺癌肺转移中的作用。结果显示,血管内皮细胞中Sohlh2过表达可抑制三阴性乳腺癌肺转移。具体而言,Sohlh2通过促进Sirt1转录,抑制NF-κB信号通路激活。
此外,本研究还发现,蛋白质精氨酸甲基转移酶5(PRMT5)介导的Sohlh2精氨酸甲基化修饰,可促进CUL4B介导的Sohlh2泛素化降解;PRMT5可削弱Sohlh2对血管内皮细胞与三阴性乳腺癌细胞相互作用的调控。
本研究揭示了Sohlh2介导血管内皮细胞与三阴性乳腺癌细胞相互作用的新机制,表明Sohlh2或可成为抑制三阴性乳腺癌肺转移的新型治疗靶点。
原文链接:https://doi.org/10.1002/advs.74884
