联勤保障部队第九八八医院:针尖上的微创为肝癌患者解除后顾之忧
发布时间:2026-04-01来源:健康界
目前我国乙肝感染者仍然存量很大,如果炎症长期得不到控制,肝细胞反复受损修复,最终一部分患者会出现肝硬化甚至肝癌。近日,联勤保障部队第九八八医院超声医学科联合感染科成功为一例年轻乙肝患者实施了肝癌的微波消融术。
患者男性35岁,既往“慢性乙型肝炎”病史多年;1月前无明显诱因出现肝区不适,伴隐痛,饮食正常,查甲胎蛋白31.50ng/ml,进一步查上腹部MRI示提示肝右后叶病变,大小约2.0cm×1.2cm、考虑HCC;超声造影进一步提示原发性小肝癌。

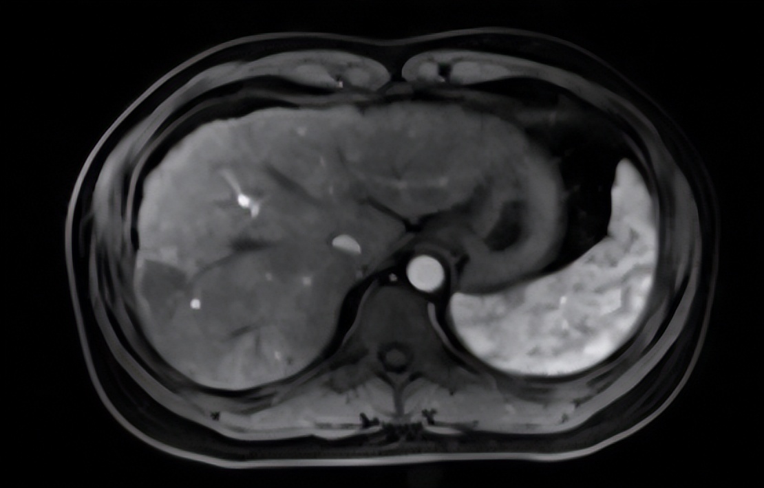
术前增强磁共振考虑肝细胞肝癌

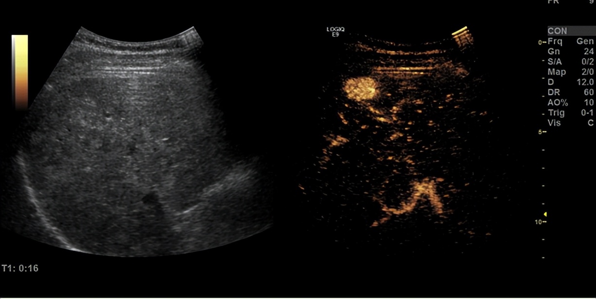
超声造影呈现“快进快出”模式,提示肝细胞肝癌
对患者进行完善的术前检查,确定肝癌临床分期后,经过多学科联合会诊以及结合患者个人意愿,决定行超声引导下经皮肝癌微波消融术,在超声医学科柴青芬主任的带领下,超声科介入团队王圣明副主任医师在超声引导下精准定位组织学穿刺活检后,用18GPTC针在肝包膜外持续注入生理盐水进行隔离,而后将微波消融针刺入肿瘤组织内进行热消融手术,全程仅用时30分钟,皮肤仅留有针尖样大小的创口;术后超声造影显示肿瘤无血流灌注,穿刺病理符合中分化肝细胞肝癌;3个月复查磁共振提示肿瘤完全灭活。

肝肿瘤微波消融术中

术后增强磁共振提示肿瘤组织无增强
肝肿瘤微波消融与传统手术相比具有创伤小、安全性高,术后恢复快,是一种十分微创的治疗方法;而且对于小肝癌来说有着与手术切除相媲美的效果;合理的术前评估、精确的术中布针和实时的超声引导是肝肿瘤微波消融的关键点;超声造影对术前病灶的“精确制导”,术后判定消融范围起着非常重要的作用。
转载说明:本文系转载内容,版权归原作者及原出处所有。转载目的在于传递更多行业信息,文章观点仅代表原作者本人,与本平台立场无关。若涉及作品版权问题,请原作者或相关权利人及时与本平台联系,我们将在第一时间核实后移除相关内容。
