各类晚期癌症患者“奇迹”缓解!国研TIL疗法开启“自身免疫杀癌”新时代!
胰腺癌复发伴肝转移,如今恢复正常生活39个月;IV期子宫内膜癌化疗耐药,单次回输后肿瘤全消,无瘤生存超4年;黑色素瘤全身转移、多线治疗失败,TIL治疗后病灶缩小47%;KRAS
G12D突变肺癌无药可用,治疗后肿瘤缩小45%、癌痛全消……

这些听起来像“天方夜谭”的生存奇迹,全都来自一款国研创新疗法——全球首款无需清淋,无需IL-2注射的天然TIL细胞疗法GC101。它打破了不同癌症的治疗壁垒,无需清淋、无需IL-2,仅凭单次回输,就让无数被常规治疗抛弃的晚期患者,重获新生,彰显了中国细胞治疗的全球硬实力!值得振奋的是,GC101不仅在国际顶级学术大会上公布了亮眼临床数据,近期更传来重磅消息:2026
年,君赛生物的 GC101 将提交上市申请,一旦成功获批,将成为国内首个上市的TIL疗法,国内患者有望在不久的将来迎来自主研发的 TIL 疗法。
一、晚期胰腺癌重回正常生活!中国成功研发全球首款无需清淋TIL疗法改写生命剧本
2021年,M先生不幸被这头 “病魔巨兽” 盯上,确诊为胰腺癌。尽管他果断接受了手术治疗,可命运似乎并未就此放过他,癌症很快复发,化疗、免疫治疗、中药……
能尝试的方法都尝试了,病情却依旧每况愈下,M先生的生活陷入了无边的黑暗,绝望如影随形。
“胰头部位复发病灶已接近 10 厘米,有橙子那么大了,还发生了肝转移。那一刻,我觉得自己的时间可能真的不多了。我当时躲在病房厕所,用手机给自己拍了张照片
—— 想着万一没机会了,也算给家人留个念想。” 回忆起 2022 年那段至暗时刻,M先生的声音仍带着一丝颤抖。
幸运的是,在他几乎要放弃希望之时,国内一家知名的肿瘤中心正在开展一项新型细胞免疫疗法--
TIL的临床试验,像一道希望之光,穿透阴霾照进了他的世界。2022 年 8 月,毛先生怀着忐忑的心情接受了TIL
疗法,这是他最后的希望,也是他与命运的一场豪赌。
奇迹,在悄然间降临。2022 年 10 月,TIL 回输后仅仅 6 周,复查影像显示,他胰头部位的复发病灶竟快速缩小至 3
厘米,残余的肝转移病灶更是消失得无影无踪。不仅如此,多个原本居高不下的肿瘤标记物也奇迹般地恢复至正常水平。此后的每一次复查,他的肿瘤病灶都在不断缩小,直至丧失代谢活性。

如今的M先生,早已摆脱了病魔的纠缠,重新回归了正常生活。他的脸上洋溢着健康的笑容,身形矫健,很难想象他曾在死亡边缘徘徊。“现在生活挺正常的,饭量比以前还多一点,每天就骑着三轮车装货、卸货、拉石材,日子过得踏实又自在。”
毛先生笑着说道。
二、IV期子宫内膜癌化疗耐药,单次回输肿瘤全消,无瘤生存超4年
L女士2021年3月体检时发现卵巢占位、淋巴结肿大,肿瘤标志物CA125与CA199均超200U/mL,进一步检查确诊为IV期子宫内膜癌,术中发现肿瘤已扩散至大网膜与盆腔,属于种植性转移。
术后,L女士先后接受多次化疗,但肿瘤标志物不仅没有下降,反而持续升高,成为对常规化疗完全不敏感的“铂难治型”癌症——这类患者预后极差,生存期极短,常规治疗已无意义。即便尝试了K药联合仑伐替尼的“可乐疗法”,也无法控制病情进展。
就在走投无路时,L女士参加了GC101 TIL治疗复发/晚期妇科肿瘤的临床试验,2021年8月顺利接受了单次TIL细胞回输。

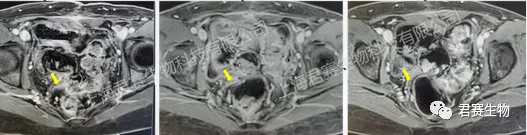
受试者接受TIL回输前、回输后6周及回输后12周影像资料
出院后,每次随访结果都带来惊喜:肿瘤标志物持续降低,肿瘤不断缩小,治疗后两个多月,各项检查指标均恢复正常。如今,4年过去,L女士早已回归正常生活和工作,无需长期服药,也不用再频繁辗转于各大医院,彻底摆脱了癌症带来的生理和心理煎熬。
三、黑色素瘤全身转移,多线治疗失败,TIL治疗后病灶缩小47%
40多岁的X先生2015年因足跟黑斑确诊肢端黑色素瘤,接受根治性手术后,病情稳定了9年,他几乎忘了自己是一名癌症患者。
可平静的生活在1年前被打破,X先生因左侧腹股沟淋巴结肿大疼痛复查,被确诊黑色素瘤复发,且已出现双肺转移。随后,他接受了淋巴结清扫手术,以及PD-1抗体治疗、靶向治疗(NRAS突变)等三线治疗,但都没能控制住病情。短短几个月,肿瘤就广泛累及双肺、腹股沟区、腹壁皮下及竖脊肌,剧烈的疼痛让他夜不能寐,生活质量急剧下降。
2025年初,X先生成功入组GC101 TIL关键II期临床试验(MIZAR-003项目),2025年6月初完成单次TIL细胞回输。
回输后6周,首次疗效评估就让人振奋:整体靶病灶缩小31.9%,其中62mm的最大单病灶缩小近40%,达到部分缓解(PR)。更让人安心的是,他仅出现寒战、发热等轻微不良反应,对症处理后快速恢复,没有出现任何严重不适。

另一例肢端型黑色素瘤患者病情更为严重:右足底病灶增大至近9cm,无法正常行走,且出现肺、胸膜及腹腔等重要内脏转移,经PD-1单药、双免疫联合治疗后仍反复进展。2024年底,她入组GC101
TIL临床试验,2025年初完成回输。回输18周后,左肺、腹腔、右足底病灶分别缩小47.4%、31.7%、36.0%,整体评估为部分缓解(PR),身体状态大幅好转,重新恢复行走能力。

四、肺癌多线耐药无药可医,TIL治疗后肿瘤缩小45%,癌痛全消
肺癌是我国发病率最高的恶性肿瘤,一旦出现耐药,治疗难度极大,尤其是无靶向药可用的患者,生存希望渺茫。以下两例肺癌患者,都在GC101
TIL疗法的帮助下,实现了绝境翻盘。
第一位ROS1融合阳性的晚期肺癌患者2020年5月确诊左肺低分化腺癌,先后接受克唑替尼、培美曲塞+卡铂+贝伐珠单抗联合治疗、恩曲替尼治疗,但病情始终无法控制,2024年10月发生脾脏转移,陷入无药可医的绝境。
接受单次TIL细胞回输后,仅出现短暂的一过性发热和血象降低,无其他不良反应。42天疗效评估时,肿瘤缩小33%,乳酸脱氢酶从2377 U/L骤降至258
U/L,身体状态明显好转。

第二位是KRAS G12D突变的IVB期肺腺癌患者,2022年4月因左胸疼痛确诊,KRAS
G12D突变至今无上市靶向药可用。他先后接受免疫+化疗联合治疗、免疫+抗血管生成+化疗联合治疗,但因无法耐受药物不良反应被迫停药,病情迅速恶化,癌痛剧烈,生活无法自理。
入组GC101
TIL临床试验后,他接受了单次细胞回输,仅出现短暂的一过性血象降低。42天疗效评估时,肿瘤缩小45%,癌胚抗原恢复正常,颈部肿大的淋巴结彻底消失,癌痛也随之缓解,重新燃起了活下去的希望。

喜讯!中国成功研发全球首款无需清淋TIL疗法,国内多家中心启动招募!
相信看完上面振奋人心的数据和案例,病友们都想了解张先生接受的这款疗法究竟是何方神圣。
GC101是上海君赛生物已成功研发全球首款无需清淋,无需IL-2注射的天然TIL细胞疗法,并于2022年4月经国家药监局批准进入临床I期。目前,它已进入关键
II 期临床(MIZAR - 003),正在全国 20 个省(直辖市、自治区)的 24 个中心进行患者招募。
临床数据显示:针对肺癌、黑色素瘤、宫颈癌等多种晚期恶性实体肿瘤,GC101的客观缓解率(ORR)超38%,并且已有4例患者肿瘤完全清除,达到完全缓解(CR),其中无瘤生存最久时间已超2年,另有6例患者获得PR疗效(肿瘤缩小>30%)。
这种国研创新型TIL疗法与美国上市的AMTAGVI™(Lifileucel)不同,所有患者仅需入住普通病房即可接受治疗,TIL细胞回输前无需接受高强度非清髓性清淋预处理,TIL细胞回输后无需输注任何剂量的IL-2。简化后的临床方案仍可保证TIL细胞在患者体内有效增殖,极大避免AMTAGVI™黑框警告相关不良反应(如:治疗相关死亡事件、持续性严重细胞减少症、严重感染、心肺功能和肾功能损伤等)发生风险,大幅提高TIL疗法安全性、便捷性及可及性。
2025年ASGCT 上公布的研究成果显示,国研自主创新的DeepTIL®细胞富集扩增平台(Dual-frEE Platform (feeder cell
free and IL-2
free)),无需滋养细胞和高浓度IL-2即可成功从多种实体瘤组织(包括脑胶质瘤、肉瘤、卵巢癌、结直肠癌、胃癌、胰腺癌等免疫细胞浸润少的“冷肿瘤”)中扩增出足量高活性的非IL-2依赖型TIL细胞,并且在无需联用任何剂量IL-2的情况下,体内和体外均展现出良好的肿瘤杀伤能力。
患者回输前无需清淋级化疗预处理,治疗后无需联用任何剂量IL-2,治疗期间无需入住无菌病房并施行重症护理等临床方案上的创新得到受试者和研究者的双重认可,亲身实证这项创新研究成果的科学性和实用性。

申请国研TIL疗法
好消息是,目前GC101针对晚期黑色素瘤及实体瘤的临床试验仍在进行中,很多患者已通过全球肿瘤医生网成功入组。
主要入组条件
18-75岁,男女不限,无严重基础疾病;
仅患一种恶性实体肿瘤,恶性黑色素瘤、肺癌;
经标准治疗失败或缺乏有效治疗方法;
至少有2个病灶,身体情况可支持手术取材,取材病灶未接受过局部治疗(如放疗、射频治疗、溶瘤病毒、溶瘤细菌等)。
想寻求TILs及其他国内外新抗癌治疗帮助,且经济条件允许的情况下,可以先将病历提交至全球肿瘤医生网医学部(400-666-7998)进行初步评估,一旦审核通过,有机会获得”天价“疗法免费治疗的机会。
曾经,晚期肺癌多线治疗失败后,就意味着“无药可医”,无数病友在绝望中等待终点;如今,国研GC101
TIL疗法的出现,打破了这一困局——41.7%的客观缓解率、66.7%的疾病控制率,两例患者绝境翻盘的奇迹,以及2026年有望申报上市的重磅消息,都在为晚期肺癌病友带来实实在在的生存希望。
如果你或你身边的亲友,正被胰腺癌、子宫内膜癌、黑色素瘤、肺癌等晚期实体瘤困扰,经化疗、靶向、免疫等多线治疗失败,甚至无靶点可用,不要放弃——GC101
TIL疗法预计2026年申报上市,目前临床试验正在火热招募中,现在申请,就能提前享受国研创新疗法的福利,抓住活下去的最佳机会,像案例中的病友一样,突破癌症绝境,重获新生!
愿每一位晚期肺癌病友,都能抓住这束来自国研力量的希望之光,不放弃、不退缩,终能战胜癌症,不负生命!
