宜宾二院研究成果登上医学顶刊NEJM:抗癌新药ADC治疗导致患者肝脏假性进展


撰文丨王聪
编辑丨王多鱼
排版丨水成文
一位宫颈癌患者接受 ADC 药物治疗后,CT 扫描显示肝脏出现新病灶,医生正准备调整治疗方案时,活检结果却让所有人震惊。
2026 年 4 月 16 日,国际顶尖医学期刊《新英格兰医学杂志》(NEJM)刊登了一篇来自宜宾市第二人民医院汪善兵团队题为:Hepatic Pseudoprogression after Treatment with Nectin-4–Targeted Antibody–Drug Conjugate 的通讯文章,报道了一位 49 岁宫颈癌患者在接受了新型抗癌药抗体药物偶联物(ADC)治疗后,肝脏出现了一个看似肿瘤进展的病灶,但最终被证实是药物起效的特殊表现。
该患者试验入组前影像学检查未见肝脏肿瘤。在治疗过程中,CT 发现肝脏病变,但肿瘤标记物明显下降,最终活检证实该病例为假性进展。这个案例不仅罕见,更对癌症治疗中的影像学评估提出了重要警示——影像学上的“进展”不一定代表治疗失败,有时恰恰是免疫系统被激活、治疗起效的信号,因此,面对复杂的治疗反应时,需要综合影像学、生物标志物和病理学证据,做出最有利于患者的决策。

病例详情
该文章中报道的患者是一位 49 岁女性,确诊为 nectin-4 阳性、p16 阳性的转移性宫颈鳞状细胞癌。她对传统的铂类-紫杉醇化疗已经耐药,且有脑转移病史。
2023 年 5 月,她入组了一项二期临床试验,开始接受新型靶向药物 bulumtatug fuvedotin 的治疗。这是一种靶向 nectin-4 的抗体药物偶联物(ADC),由迈威生物研发,研发代号为 9MW2821。
治疗前的基础影像学检查显示,患者有肺部、纵隔和会阴部转移,但肝脏完全正常,没有任何可见病灶。
治疗过程中的意外发现
经过两个周期的治疗后,2023 年 7 月的复查 CT 扫描显示了一个令人困惑的现象:患者原有的转移病灶明显缩小,这通常是治疗有效的标志。
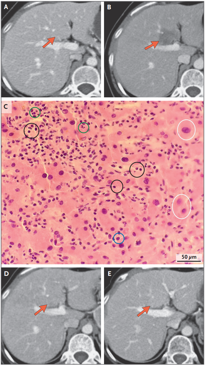
但与此同时,肝脏第四段却出现了一个新的低密度病灶,大小约为 1.8×2.5 厘米。
按照传统的肿瘤评估标准,这很可能被判定为疾病进展。医生面临一个艰难选择:是继续当前治疗,还是因为“新病灶”的出现而更换方案?
关键转折点
临床医生注意到一个重要的矛盾信号:虽然影像学显示肝脏出现新病灶,但患者的肿瘤标志物——血清鳞状细胞癌抗原却从 37.0 ng/mL 急剧下降至 1.2 ng/mL,远低于正常值上限。且患者没有发热,肝功能指标也完全正常。更令人惊讶的是,这个肝脏病灶在自发开始缩小。
为了明确诊断,医生进行了肝脏穿刺活检。病理结果显示:病灶区域有密集的淋巴细胞、浆细胞和中性粒细胞浸润,但完全没有发现恶性肿瘤细胞。
什么是抗体药物偶联物?
要理解这个病例的特殊性,首先需要了解什么是抗体药物偶联物(Antibody–Drug Conjugate,ADC)。
抗体药物偶联物(ADC)是一类创新生物药,通过化学连接子将具有高度靶向性的单克隆抗体与高活性细胞毒性小分子药物偶联而成。这种设计理念被誉为靶向肿瘤细胞的“生物导弹”,能够将毒性药物精准递送至表达特定抗原的肿瘤细胞内部,在提高疗效的同时,显著降低对正常组织的毒副作用。
9MW2821 是迈威生物自主研发的一款靶向 Nectin-4 的 ADC 药物,采用定点偶联技术,搭载细胞毒性载荷 MMAE。

该药物目前处于 III 期临床研究阶段,适应症涵盖尿路上皮癌、宫颈癌、食管癌及三阴性乳腺癌等实体瘤。
假性进展的医学意义
假性进展(Pseudoprogression)是指在肿瘤免疫治疗过程中出现的一种特殊影像学现象:患者的肿瘤病灶在影像学上先表现为体积增大或出现新病灶,但随后出现持续的缩小或稳定,且患者的临床症状并未恶化。
这种现象的生物学本质并非肿瘤细胞的恶性增殖,而是由于大量激活的免疫效应细胞浸润肿瘤组织,伴随局部炎症反应、水肿和坏死所致。
在免疫检查点抑制剂(ICI)的治疗中,假性进展相对较为常见,在黑色素瘤的治疗中发生率约为 10%,在肺癌中则小于 5%。
但在抗体药物偶联物(ADC)治疗中,假性进展极为罕见。此前仅有淋巴瘤患者接受维泊妥珠单抗(罗氏公司研发的治疗淋巴瘤的靶向 CD79b 的 ADC 药物)治疗时出现过类似报告。这项研究中案例,则是在实体瘤中首次经活检证实的假性进展。

在 Nectin-4 靶向的 ADC 治疗期间出现的肝假性进展
机制推测与临床启示
研究团队推测,这种假性进展可能是由于 ADC 药物靶向并清除了隐匿的微转移灶,诱导了免疫原性细胞死亡,释放损伤相关分子模式,从而触发了局部炎症反应。
随着治疗继续,该患者的肝脏病灶在两个月后明显缩小,到 2025 年 10 月的长期随访时已完全消退,且超过两年没有复发迹象。这位患者最终因为原有的脑转移病灶进展而退出了临床试验,但肝假性进展的发现,为医学界提供了宝贵经验——当影像学表现与生物标志物反应不一致时,不应轻易判定治疗失败,而是需要考虑假性进展的可能性,必要时进行病理学验证,避免过早停止可能有效的治疗方案。
论文链接:
https://www.nejm.org/doi/full/10.1056/NEJMc2518316





点在看,传递你的品味




