癌细胞持续作乱?Signal Transduct Target Ther:患者自体多器官替身试药为NF1突变乳腺癌选出最佳联合方案
同样的
乳腺癌
,同样的药,有的人效果好,有的人却几乎没有反应。这背后的差距,往往藏在基因里。比如
NF1
基因突变,就像给
癌细胞
里的“油门”焊死了,Ras信号通路持续激活,肿瘤疯长,对多种靶向药和化疗药都不敏感。这类患者预后更差,医生急需一套“量体裁衣”的治疗方案。
近期,一项发表在
Signal Transduct Target Ther
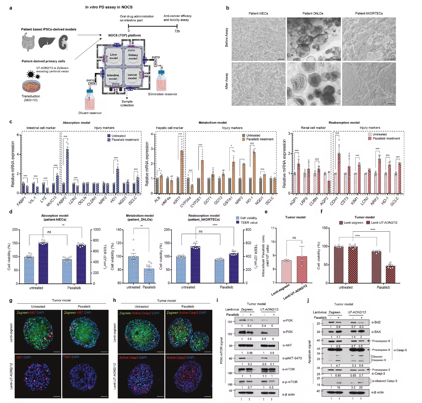
上的研究,给出了一种颇具新意的解决思路:从患者身上提取细胞,在体外“重建”一个包含肠、肝、肾和肿瘤的微型生理系统,用来
精准
筛选最有效的药物组合。

用自己的细胞建一套“
药物试炼场”
研究团队首先从一名携带
NF1
基因突变的乳腺癌患者身上获取正常体细胞,通过重编程技术将其转化为诱导多能
干细胞
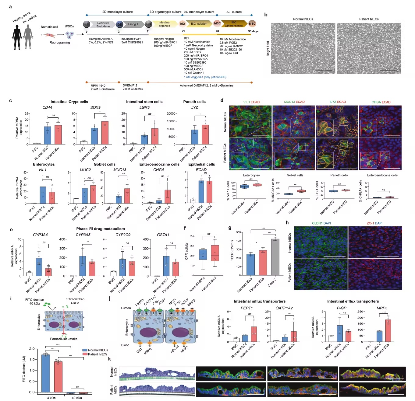
。这些细胞具有分化成多种组织的能力。随后,他们分别诱导这些干细胞分化成为小肠、肝脏和肾脏类器官。
这套“器官模型”并非徒有其表。小肠类器官形成了完整的极化和紧密连接,可以模拟药物被吸收进入体内的过程。肝脏类器官具备代谢酶的活性,能够像真正的肝脏一样处理药物。肾脏类器官则表达了多种药物转运体,负责重吸收和排泄。与健康对照相比,患者来源的肝脏类器官出现了一些异常:白蛋白分泌减少,转氨酶水平升高,药物代谢酶的活性也明显降低。这说明
NF1
突变确实会改变肝脏处理药物的方式。

图1 具有
NF1
突变的乳腺癌患者1来源的诱导多能干细胞(iPSCs)的生成

图2 利用诱导多能干细胞构建的人小肠上皮模型

图3 NOCS平台对乳腺癌患者1的精准药代动力学分析
先“修基因”,再精准下药
NF1
基因的突变具体表现为第2号外显子出现移码,导致蛋白无法正常合成。研究者设计了一种“外显子跳跃”策略,用反义寡核苷酸引导细胞在加工RNA时跳过这个错误的外显子,从而恢复部分有功能的NF1蛋白。为了提高持久性,他们还将这一工具装入慢病毒载体,实现长期效果。处理之后,患者乳腺癌细胞中的NF1蛋白表达回升,下游过度活跃的PI3K-AKT信号通路也得到抑制。
接下来,研究者利用搭建好的多器官平台,对8种PI3K-mTOR双靶点抑制剂进行了药代动力学筛选。结果显示,Paxalisib的口服吸收效果最好,在患者的肠、肝、肾类器官中能维持较高的血药浓度。而另一种已获批的药物Gedatolisib口服吸收极差,与其只能
静脉注射
的临床用法一致。在患者
肿瘤细胞
中,Paxalisib单独使用的半数抑制浓度为19.4 μM,但联合外显子跳跃治疗后,这个数值急剧下降到1.2 μM,说明两种方法产生了明显的协同效应。

图4 基于NOCS平台对联合治疗的药效评估
在动物模型中同样看到协同效果
为了确认这种联合方案在体内的疗效,研究者将患者原代肿瘤细胞移植到裸鼠皮下,瘤内注射携带外显子跳跃工具的慢病毒,同时口服Paxalisib。结果联合治疗组的肿瘤体积和重量都明显小于单药组或对照组,肿瘤组织中增殖细胞明显减少,凋亡细胞显著增多,而小鼠的体重和主要器官没有出现异常变化。
结语
这项研究展示了一种极具个体化色彩的精准治疗路径:从患者自身的细胞出发,在体外重建肠、肝、肾和肿瘤模型,用于筛选最适合的药物,再通过基因层面的修复策略增强药物敏感性。最终,外显子跳跃联合Paxalisib在
NF1
突变乳腺癌中实现了协同抗肿瘤效果。这种“用患者的身体替身试药”的思路,为耐药性肿瘤的精准治疗提供了新的可能。(
生物谷)
参考文献:
Lim JH, Mun SJ, Kang HM, et al. Personalized pharmacokinetic-pharmacodynamic guided therapy via an induced pluripotent stem cell-derived multi-organoid platform in NF1-mutant breast cancer.
Signal Transduct Target Ther
. 2026;11(1):79. Published 2026 Mar 5. doi:10.1038/s41392-026-02595-7
