EAU 造模解决方案:眼科药物临床前研究黄金模型
葡萄膜炎是一类涉及眼球内部多种结构的炎性疾病,具有高发病率与高致盲风险。由于临床研究存在技术限制和伦理约束,建立可靠的动物模型成为揭示其病理机制和开发治疗方法的关键途径。
目前常用的动物模型包括实验性自身免疫性葡萄膜炎(EAU)和内毒素诱导的葡萄膜炎两类。鉴于人类葡萄膜炎多与自身免疫反应相关,EAU模型凭借其高度模拟人类自身免疫病理的特征,成为该领域研究的核心模型体系。
EAU是研究自身免疫性葡萄膜炎的“金标准”动物模型。该模型能准确再现人类疾病的关键病理特征,包括淋巴细胞浸润、血-视网膜屏障破坏及视网膜组织损伤,为疾病机制研究、药物筛选和治疗评估提供了不可或缺的研究平台。
一、模型原理与机制
EAU是通过免疫介导的特异性T细胞反应诱发的自身免疫性疾病模型,其核心机制为:
抗原致敏 → T细胞活化 → 血眼屏障突破 → 视网膜攻击 → 炎症级联反应
病理特征模拟:
视网膜血管炎、脉络膜炎
光感受器细胞破坏
视力功能丧失
可模拟急性、慢性及复发性病程
二、抗原的选择
EAU模型的建立主要依赖于视网膜特异性抗原的免疫诱导。目前常用的诱导抗原包括视网膜可溶性抗原(S-Ag)、光感受器间维生素A类结合蛋白(IRBP)、视紫红质及恢复蛋白等。
尽管该模型可在小鼠、大鼠、兔、豚鼠及灵长类动物中成功建立,但使用C57BL/6J小鼠所构建的模型与人类自身免疫性葡萄膜炎的临床病理特征最为接近,因而成为该领域研究中最具代表性的动物模型。
通过方法学的持续优化,目前已被广泛采用的经典建模方案为:以IRBP抗原片段IRBP651-670与完全弗氏佐剂(CFA)乳化后,联合百日咳毒素(PTX)对C57BL/6J小鼠进行免疫,可稳定诱导出具有典型病理特征的EAU模型。
三、标准化造模方案
适用动物品系

试剂组分清单

本方案选取最常用的C57BL/6J小鼠造模,详细造模流程如下:
1、实验动物:通常选择6-8周龄C57BL/6J小鼠,20-25g。
2、动物适应:将动物在SPF实验环境中适应1周,保持温度、湿度和光照条件稳定,自由饮食。
3、EAU模型建立
(1)PTX 溶液配制:将50μg 百日咳毒素粉末溶于 500μL PBS中,配制成1μg/μL 浓度的 PTX 溶液。
警告: PTX具有多种生物学效应。避免吸入、摄入以及与皮肤和眼睛接触。穿戴适当的实验室服装,包括实验服、手套和护目镜。处理冻干粉时应在生物安全柜中进行,建议佩戴丁腈手套,避免产生粉尘和气溶胶。使用前,应轻柔摇晃,不要进行剧烈漩涡振荡,使悬液混合均匀。实验后残留PTX溶液及接触物品应按照生物危险品规范处理,避免环境污染。
(2)IRBP651-670溶液配制:取 25mg IRBP651-670多肽粉末,加入1mL的100% DMSO,充分溶解,得到25mg/mL DMSO多肽储存液。将 4mL 的无菌PBS缓慢加入到储存液中,混合均匀,最终得到5 mL的 5 mg/mL IRBP651-670多肽PBS工作溶液,将溶液在-80℃冰箱和 37℃水浴锅中反复冻融 2-4 次,直至液体澄清且无颗粒。
(3)抗原乳液制备:按照 1:1 体积比将IRBP651-670多肽溶液和 FCA 溶液加入两支5 mL玻璃注射器中,并通过三通连接两支注射器(需提前将器具灭菌处理,防止杂菌污染破坏毒素和抗原活性),在冰上反复推注40 min-2h,将抗原乳化至油包水状态,IRBP651-670多肽浓度达到 2.5 mg/mL。
警告:热灭活的结核分枝杆菌刺激先天免疫反应,避免吸入、摄入以及与皮肤和眼睛接触。制备佐剂时严格避免针刺伤,因为它可能导致肉芽肿或诱发自身免疫反应。
乳化质量严格验证
①直观与离心双重检测:合格的乳化液呈均匀白色粘稠状,将其滴入水面后应不扩散,这是判断油包水状态的直观标准,也可将乳化液转入离心管,以3000r/min离心1分钟,若无明显分层则说明乳化完全。
②微观粒径辅助判断:显微镜下观察乳化液,需保证油包水结构的粒径<5μm 的占比超90%,粒径过大或分布不均会导致抗原释放不均,进而造成动物个体间模型症状差异大,影响实验重复性。
(4)麻醉小鼠:使用1.25%三溴乙醇溶液)按照 0.2 mL/kg 的剂量对小鼠进行腹腔注射麻醉。
(5)EAU造模:首先对麻醉后小鼠剃毛,在小鼠颈背部、两侧腹肋部和尾根部(避免刺入肌肉层)四点各注射50 μL 乳液(确保注射均匀,避免局部积液),共200μL(总量500 μg)。皮下注射IRBP乳化液后,立即进行腹腔注射 1 次PTX,每只小鼠 1μg(10μL)。
(6)对照组处理:对照组小鼠在相同部位皮下注射等体积的10% DMSO PBS溶液,不注射IRBP乳化液和百日咳毒素。
4、动物分组及处理
免疫前将小鼠随机分为空白对照组、模型组和治疗组,免疫后第14天(第14天是组织学验证的最佳时间点,临床评分可更早开始)取小鼠的眼球(和脾脏),进行后续功能试验。实验流程图如下:
图1 实验流程图
四、模型评价与验证体系
1、临床评分(辅助标准:基于裂隙灯观察,评分≥1 分即可判定成功)
从造模后第 8 天起,每隔一天使用裂隙灯观察小鼠的眼前段,眼底照相机观察小鼠的眼底。眼前段和眼底的评分标准如表1。
评分:0 个“+”得 0 分;1-3 个“+”得 1 分;4-6 个“+”得 2 分;7-9 个“+”得 3 分;10-12 个“+”得 4 分;13-15 个“+”得 5 分。
表1 EAU小鼠眼前段临床评分标准[1-2]


图2 裂隙灯眼前段代表性图。a:造模后 0 d,结膜无充血,角膜透明,房水清。b:造模后 14 d,可见混合充血(++),房水闪辉,角膜仍透明。c:造模后 21 d,混合充血(+),角膜透明,房水清,炎症明显减轻。蓝色箭头示混合充血,黑色箭头示房水细胞[3] 。
图3 眼底照相机代表性图。a:造模后0 d,眼底玻璃体清,视盘清晰,视网膜平伏,血管正常无炎症。
b:造模后14 d,玻璃体浑浊,视盘边界模糊,散在黄白色渗出灶,血管迂曲扩张伴白鞘,重度血管炎症。
c:造模后21 d,视盘水肿,散在点片状渗出灶,血管迂曲伴扩张,轻中度血管炎症。红色箭头示渗出灶,蓝色箭头示血管迂曲,黑色箭头示血管炎症[3] 。
2、组织病理学评分(金标准:基于HE染色,评分≥1 分即可判定成功)
取材时间点:在免疫后第14天,将小鼠处死,取出眼球。
固定方法:对眼球进行固定、脱水、包埋、切片(4–6 μm,每只眼至少 3 张切片),并进行HE染色。
评分标准:依据 Caspis 标准,0–4 分,对病理切片进行评分
病理表现:视网膜折叠、炎症细胞浸润、血管炎等。
表2 EAU小鼠视网膜组织学评分[1-2]

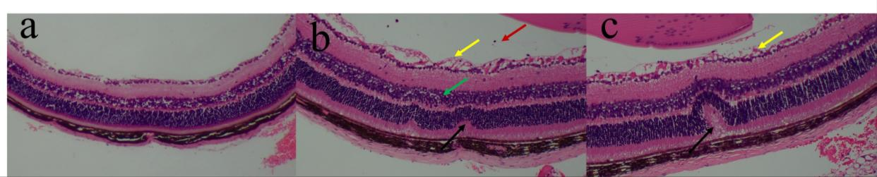
图4 造模后0 d,视网膜结构清晰,内界膜完整。b:造模后14 d,玻璃体渗出,视网膜肿胀、皱褶,可见肉芽肿及血管炎症,内界膜脱离。c:造模后21 d,视网膜结构紊乱,皱褶明显,伴血管炎症。红色箭头示玻璃体渗出,黑色箭头示视网膜皱褶,黄色箭头示血管炎,绿色箭头示肉芽肿[3]。
3、免疫学验证(辅助/机制验证)
T细胞亚群分析(流式细胞术):Th17细胞比例显著升高(关键指标)、Treg细胞比例一般无显著变化
细胞因子检测(qPCR + ELISA):Il17a mRNA、IL-17A、TNF-α 蛋白表达上调等
蛋白质组学/信号通路验证(如STING/NF-κB/IL-6通路激活)
4、血-视网膜屏障功能评估(可选)
伊文思蓝渗漏实验:尾静脉注射伊文思蓝,观察视网膜血管渗漏情况。
紧密连接蛋白表达(Western Blot):OCCLUDIN、CLAUDIN-5表达下降提示屏障破坏。
图 5 棕榈酸处理、对照溶剂处理 EAU 小鼠以及未免疫小鼠注射伊文思蓝后的视网膜铺片[1]
5、影像学与功能学验证(可选,用于深入分析)
光学相干断层扫描:评估视网膜厚度和结构层次。
眼底荧光血管造影:评估血管渗漏和屏障破坏。
视网膜电图:评估光感受器功能损伤(建议在免疫后第21-28天进行)。
6、综合判定标准
金标准:组织病理学评分 ≥1分,且模型组显著高于对照组。
辅助标准:临床评分 ≥1分 + 免疫学验证(如Th17比例升高)。
可选标准:血-视网膜屏障破坏、影像学异常、功能学损伤等。
实验性自身免疫性葡萄膜炎(EAU)模型以其高仿生性与可重复性,已成为眼科自身免疫性疾病研究的基石。它不仅是一个科研工具,更是连接基础机制与临床治疗的关键桥梁。通过我们提供的标准化建模方案、系统评价体系与配套试剂产品,研究人员可高效构建稳定、可靠的EAU模型,深入探究疾病机制,加速药物筛选与治疗策略开发。
我们致力于为科研人员提供全面、可靠的技术支持与产品服务,共同推动葡萄膜炎及相关眼病的研究进程。如需获取更多产品信息、技术资料或实验支持,欢迎随时联系我们。
参考文献:
[1] 冯晓洁.棕榈酸对实验性自身免疫性葡萄膜炎的作用及机制研究[D].重庆医科大学,2024.
[2] Tian L, Yang P, Lei B, et al. AAV2-mediated subretinal gene transfer of hIFN-α attenuates experimental autoimmune uveoretinitis in mice. PLoS One. 2011;6(5):e19542. doi:10.1371/journal.pone.0019542
[3] 李金清,张秋瑾,郑柳,等.PKM2/STAT3在实验性自身免疫性葡萄膜炎小鼠中的表达和作用[J].眼科新进展, 2025, 45(12):938-942.
