泪腺多形性腺瘤病例分享
0 1 简要病史
基本信息: 男,56岁,患者于1月前无明显诱因出现左眼眼球突出,伴有眼胀,偶有眼红,无眼痛、畏光、流泪等不适,无视力下降,未诉其他眼部不适,监测血压不稳定,否认肝炎病史,否认结核病史,否认糖尿病史,否认心脏病,否认外伤史,否认手术史,否认输血史,否认药物及食物过敏史,预防接种史不详。
体格检查: T:36.3°C,P:80次/分,R:20次/分,Bp:170/78mmHg。神智清楚,语言流畅,心肺未闻及明显异常
专科检查: Vod:1.0,os:1.0;I0P:od18mnHg,os18mmHlg。右眼结膜无充血,角膜透明,前房中深且清,瞳孔圆,直径约3-4mm,对光反射灵敏,晶状体轻混,眼底:网膜平伏,黄斑中心凹反光未见;左眼眼球运动正常,眶外上方近眶上缘扪及肿物,质硬,边界欠清,深部不可扪及,压痛及触痛(-),眼球呈下转位,眼球向前、向下突出,结膜无充血,鼻侧膜样物生长入角膜缘约1.5mm,余角膜透明,前房中深。
0 2 影像资料图
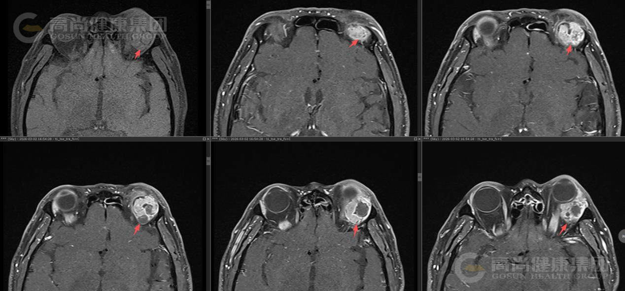
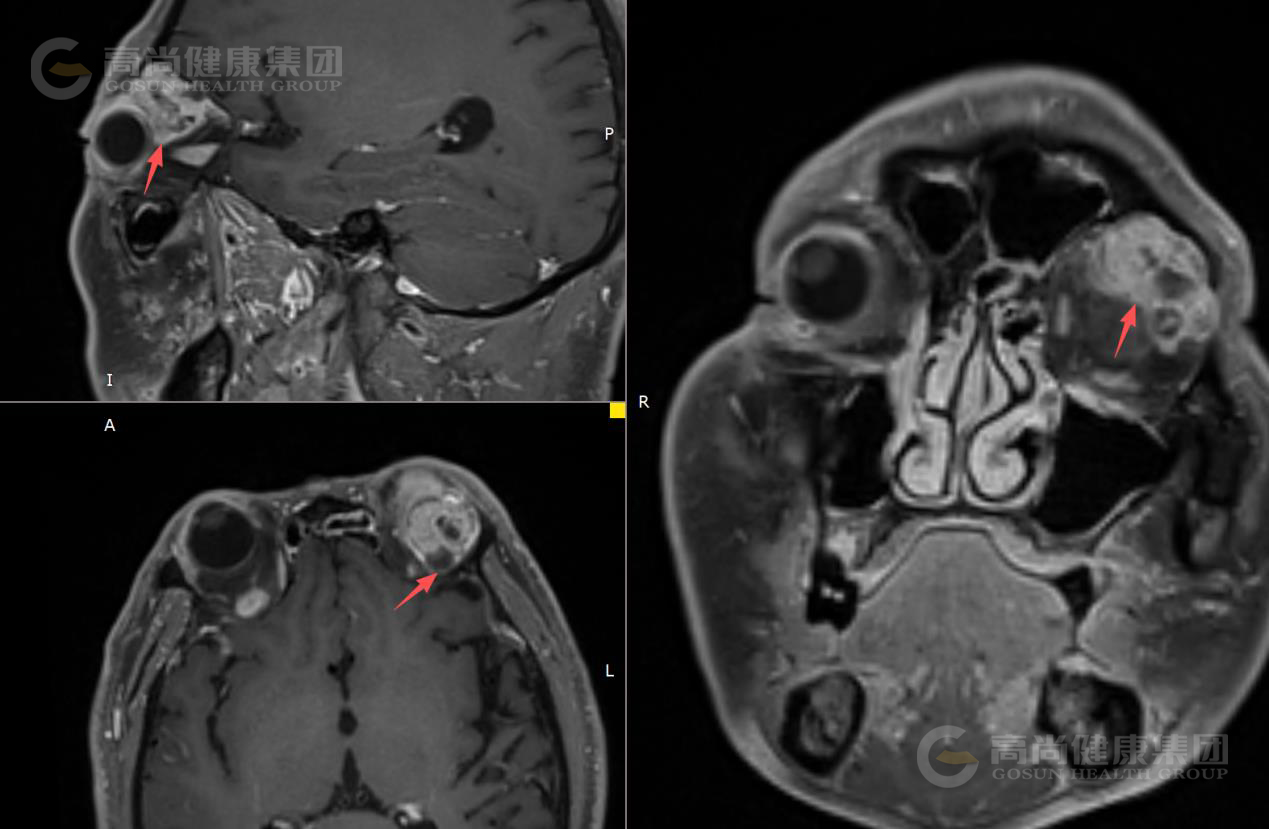
眼眶MR平扫+增强扫描
序列 T1WI T2WI T2WI-FS DWI/ADC T1-VIBE+C 3D-T1WI+C
方位 TRA SAG COR


左眼眶外上泪腺区类圆形异常信号影,大小约23×26×26mm(左右径×前后径×上下径),呈囊实性改,T1WI呈等信号,T2WI及T2WI-FS序列主要呈稍高信号伴囊样高信号,实性部分DWI呈轻度高信号,囊性部分呈等信号,ADC实质部分呈低信号,囊性部分呈高信号。



MR增强扫描: 肿块实质部分呈明显强化,且持续强化,囊变区不强化,病灶累及左眼眶肌锥内外间隙,与邻近泪腺界限不清,左侧眼球受压、向前突出,左侧上直肌、外直肌轻度受压。
影像诊断结果: 左侧泪腺区肿瘤性病变,考虑泪腺混合瘤,部分囊变坏死,不除外其它,请结合临床。
03 病理结果
病理结果: 泪腺多形性腺瘤。

04 知识延伸
0 1 疾病概述
泪腺多形性腺瘤又称泪腺混合瘤,是泪腺最常见的良性肿瘤,占泪腺上皮性肿瘤的50-60%,好发于30-50岁成年人,女性略多于男性。
病理特点:肿瘤由上皮细胞和间质成分混合构成,包膜完整,肿瘤具有多形性,故称为泪腺混合瘤,也称为泪腺多形性腺瘤。泪腺混合瘤瘤体多为圆形或出现分叶状,多有完整包膜,边缘光滑,表面可有结节状突起。少数可恶变(约10%)。
0 2 临床症状
早期无症状,病程缓慢,多在3~5年以上。泪腺区无痛性肿块,质地硬、表面光滑,边界清楚,单侧眼球突出、移位(常向鼻下方),与眶骨壁关系密切,活动度可,晚期可压迫眼球导致视力下降或复视,良性泪腺混合瘤局部无疼痛及压痛,而泪腺窝疼痛及压痛常提示恶性。
0 3 CT影像特征
▶位置: 眼眶外上方泪腺区类圆形或椭圆形高密度肿块,膨胀性生长,边界清晰。
▶密度: 平扫:等密度或稍高密度,内可见低密度囊变区。
▶增强: 轻至中度强化,囊变区无强化。
▶骨质改变: 泪腺窝扩大,骨质受压变薄(良性特征),无骨质破坏(若出现破坏需警惕恶变)。
0 4 MRI 影像特征
▶T1WI: 等信号或稍低信号,囊变区呈低信号。
▶T2WI: 混杂信号(因肿瘤成分复杂,上皮成分呈低信号,黏液/软骨成分呈高信号,囊变区呈高信号)。
▶增强扫描: 肿瘤实质部分强化,囊变区无强化,包膜可强化。
▶扩散加权成像(DWI): 肿瘤实质呈等或稍高信号,ADC值正常或轻度升高(与恶性肿瘤鉴别)。
0 5 鉴别诊断
1、泪腺恶性肿瘤(如腺样囊性癌):
侵袭性生长,边界不清,骨质破坏明显。
MRI呈不均匀强化,DWI高信号,ADC值降低。
2、泪腺炎症(如炎性假瘤):
双侧发病多见,泪腺弥漫性增大,边界模糊。
临床有红肿、疼痛等炎症表现,激素治疗有效。
3、泪腺淋巴瘤:
老年人多见,泪腺区均质肿块,T2WI等信号,轻中度强化。
常伴全身淋巴瘤表现。
0 6 诊断流程
临床评估: 病史(无痛性肿块、眼球突出)+ 体格检查(泪腺区肿块)。
影像学检查: 优选CT(评估骨质)+ MRI(评估软组织)。
病理确诊: 手术切除后病理检查是金标准(需完整切除包膜,避免复发)。
0 7 治疗
以手术是手术切除,直接切除肿瘤组织,达到缓解症状的目的。治疗的关键点在于早期切除肿瘤组织。治疗难点在于本病容易反复发生。
05 总结
泪腺混合瘤是泪腺最常见良性肿瘤,影像学表现具有特征性(边界清、骨质压迫、混杂信号);CT与MRI结合可提高诊断准确性,需与恶性肿瘤、炎症等鉴别。
参考文献
[1]. 弥龙. 眼眶肿瘤及瘤样病变的MRI影像学表现[J]. 海南医学, 2018, 29(3): 376-377.
[2]. 朱建波, 李彬, 孙宪丽, 等. 泪腺上皮性肿瘤261例的临床和组织病理学特点分析[J]. 中华眼科杂志, 2004, 40(4): 220-224.
[3]. 梁丰丽, 马雪英, 麻少辉, 等. 眶颅沟通泪腺恶性混合瘤伴硬脑膜浸润一例[J]. 磁共振成像, 2017, 8(3): 228-230.
[4]. 佚名. 泪腺混合瘤[EB/OL]. 国家药品监督管理局, 2026-03-27.
[5]. 佚名. 泪腺多形性腺瘤的影像学分析[J]. 维普期刊, 2025-09-22.
[6]. 佚名. 良性泪腺混合瘤CT、MR诊断价值[J]. 维普期刊, 2025-12-22.
[7]. Szczęsniak M, Okła M, Adamski W, et al. Pleomorphic Adenoma of the Lacrimal Gland in Young Adult[J]. Journal of International Dental and Medical Research, 2025, 18(2): 867-869.
[8]. 李永, 张天明, 安裕志, 等. 侵犯颅前、中窝泪腺肿瘤的临床研究[J]. 中华医学杂志, 2006, 86(23): 1597-1599.
