56岁男子黑便多日,病因却埋藏6年之久!如何化解危机?丨医起推理吧

来源 | 医脉通
作者 | 阿圆
急诊的夜晚,从来都是喧嚣与紧张交织。
白医生在这里接诊过很多患“奇”病的患者,但2023年接诊的这位患者,仍让常年值守一线的他留下了格外深刻的印象。
这位患者叫老周(化名),是一名56岁的男性。
第1幕:急诊室来了个奇怪的患者
老周进入急诊室的时候,面色惨白,自诉最近几天的大便非常黑,他很害怕。

“黑便有很多种情况,要看看是否有特殊饮食、用药和其他并发症?”白医生安慰道。同事发现其血流动力学稳定;体格检查未见异常,直肠指检证实黑便。
但老周接下来的回答却让白医生警惕了起来。老周否认了特殊饮食、呕血、腹痛及非甾体抗炎药服用史,同时讲诉自己有饮酒史(每周约饮伏特加2品脱,每周饮酒5~6天,否认吸烟史),既往检查出过胃底静脉曲张(IGV),还动过一个修补手术。
“先做检查,找到病因。”在让老周做检查后没多久,实验室检查结果就出来了。当看到老周的实验室检查结果:血红蛋白(Hb)9.5 g/dL,肝酶、血小板及凝血功能正常,白医生却觉得很奇怪,因为一个喝酒的人,肝功能正常,却出现上消化道出血?
第2幕:出血病因在多年前就冒出“头”
于是在等待其余检查结果的时候,白医生先将老周的既往史详细整理,并同步等待其余检查结果:
(1)2017年
➤于外院行常规体检胃镜,首次发现胃底孤立性静脉曲张(IGV型),未见活动性出血征象。
➤因无任何症状,肝功能正常,未予特殊治疗,仅建议定期观察。
(2)2022年
➤于本院行surveillance胃镜,再次显示胃底IGV型静脉曲张,仍无出血征象。
➤患者无肝硬化、无腹痛、无呕血或黑便史,继续保守观察。
(3)2023年
➤因腹股沟疝于外院行疝修补术,术后恢复良好。
➤期间未行胃镜复查,无消化道症状。
没多久,老周其余的检查结果也出来了。食管胃十二指肠镜检查(EGD)检查显示:

图1 患者EGD检查结果
胃底可见巨大、迂曲的静脉瘤(IGV型),且未见近期出血征象,这不是典型的肝硬化出血。那难道是脾脏的问题?白医生想到,而接下来的CT检查结果揭开了真相。
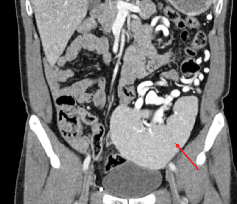
腹部CT检查显示:

图2 患者腹部CT检查结果
老周的脾脏并没有老老实实待在左上腹,而是“掉”到了盆腔里!同时,脾静脉明显增粗,胃周围能看到大量因为压力过高而生成的侧枝血管。尽管患者有大量饮酒史,影像学上未发现肝硬化或门静脉扩张的证据。
且乙状结肠镜检查结果显示直肠乙状结肠见新鲜血液;结肠镜检查结果显示:全结肠黏膜正常,未见出血灶;胶囊内镜检查结果显示:空肠黏膜正常,回肠远端见暗红色液体及黄色絮状物,符合陈旧性出血表现。
现在病因就很明确了,这是一例由“游走脾”引发的罕见病例。
游走脾是一种罕见的临床疾病,由脾脏悬吊韧带(如脾肾韧带和胃脾韧带)缺如或松弛导致脾脏异常移动所致。这种移动性使脾脏易发生血管蒂扭转,进而影响静脉回流,引发脾梗死、脾功能亢进及血管淤血等并发症。
在少数情况下,脾静脉的病变可导致节段性(左侧)门脉高压及IGV。该病与全门脉高压症的区别在于:其与肝脏疾病无关,且通常不伴有食管静脉曲张。
而与老周的过往病历相结合,白医生发现,这个“伏笔”其实可能早在六年前就已埋下。2017年,老周在一次常规体检胃镜中,就被发现有孤立性胃底静脉曲张,只是当时没有出血,也未予重视。2023年,复查时依然存在。
第3幕:治疗的选择,切还是不切?
尽管病因找到了,但治疗却陷入了两难。
因为在住院的第9天,老周再次出现黑便。复查胃镜显示胃底静脉活动性喷射状出血,予内镜下氰基丙烯酸酯组织胶注射行静脉曲张栓塞术,成功止血。
但这治标不治本,只要“会跑的脾脏”还在,血管扭转的压力源不解除,下一次出血只是时间问题。
考虑到再出血风险及持续性静脉淤血,于住院第17天行腹腔镜脾切除术。术中所见:脾脏增大,位于盆腔,周围被迂曲扩张的静脉曲张包绕(图3)。使用Hem-o-lok夹及血管切割闭合器结扎并离断脾动脉、脾静脉,完整切除脾脏,术中无并发症。

图3 脾切除术时的腹腔镜视图
老周于术后第3天出院,且在术后第五个月进行的随访腹部CT检查结果中显示腹周静脉曲张和副静脉完全消退,无门静脉或脾静脉血栓的证据。
病例思考
1.对不明原因IGV,需警惕游走脾所致左侧门脉高压。
游走脾是由脾肾韧带和胃脾韧带等悬吊韧带缺如或松弛引起,导致脾脏异常活动。这种活动性使脾脏易发生血管蒂扭转,进而影响静脉引流,并引发脾梗死、脾功能亢进和血管充血等并发症,且脾静脉扭转可导致节段性(左侧)门脉高压及IGV。
该病与全门脉高压症的关键区别在于:其与肝脏疾病无关,且通常不伴有食管静脉曲张。同时:
➤对于表现为孤立性胃底静脉曲张、但肝功能正常的患者,尤其是无肝硬化证据者,应高度怀疑游走脾的可能。
➤腹部增强CT具有重要诊断价值——不仅可确认异位脾脏的位置,还能观察到胃周静脉曲张和脾静脉充血。
➤本例患者虽有大量饮酒史,但实验室检查和横断面影像明确排除了肝硬化或肝源性门脉高压,最终确诊为脾静脉扭转所致的左侧门脉高压——这一发现强调了影像学检查在鉴别诊断中的关键作用。
2.内镜下止血与外科手术,有何区别?
内镜下氰基丙烯酸酯注射仅能实现暂时止血,因为它无法纠正脾静脉出流梗阻的根本原因——这也解释了为何单纯内镜治疗后存在再出血的高风险。本例患者在初次内镜止血后第9天再次发生活动性喷射状出血,充分印证了这一点。
而切除游走脾从根源上解除了脾静脉扭转对血流的阻碍,实现持久性血流动力学改善。
本例患者胃静脉曲张最初于2017年偶然发现,在保守观察下稳定数年。随后的出血事件很可能反映了脾静脉的慢性或间歇性扭转,而非急性扭转(后者通常伴随剧烈腹痛)。
这一病程特点提示:即使患者无症状、无影像学进展,游走脾仍可能悄然进展至危及生命的出血事件。一旦影像学明确脾脏移位和静脉充血,及时的手术干预不仅能控制活动性出血,更能逆转潜在的血流动力学异常。
参考文献:
[1] Jin BC,Seo SY,Baek HS,Kim SW.Recurrent gastric variceal bleeding due to wandering spleen - complete resolution following laparoscopic splenectomy: A case report[J].Medicine (Baltimore).2026,105(3):e47197.
[2] Cho I.Torsion of a wandering spleen treated by laparoscopic surgery: a case report[J].Soonchunhyang Med Sci.2021,27:114–117.
[3] Brown CV,Virgilio GR,Vazquez WD.Wandering spleen and its complications in children: a case series and review of the literature[J].J Pediatr Surg.2003,38:1676–1679.
[4] Jha AK,Ghosh A,Arya S,et al.Torsion of spleen and portal hypertension: pathophysiology and clinical implications[J].World J Hepatol.2021,13:774–780.
[5] Chandra S,Sarin SK,Yadav H,et al.Endoscopic cyanoacrylate glue injection in management of gastric variceal bleeding: US tertiary care center experience[J].J Clin Exp Hepatol.2018,8:181–187.
责编|Zelda
封面图来源|视觉中国


国家医保局:医院可使用集采非中选原研药 | 医脉政事儿

出院又住院!老人的肺炎不断反复,没想到隐匿的“元凶”竟藏在这种药中……丨医起推理吧
医脉通是专业的在线医生平台,“感知世界医学脉搏,助力中国临床决策”是平台的使命。医脉通旗下拥有「MedSeeker」「临床指南」「用药参考」「医学文献王」「医知源」「e研通」「e脉播」等系列产品,全面满足医学工作者临床决策、获取新知及提升科研效率等方面的需求。

☟戳这里,更有料!
