79岁老人突发感染加重,元凶藏在胃壁里?这个部位的“小尾巴”藏着大问题! | 识图寻踪

患者,男,79岁,既往有慢性阻塞性肺疾病病史,因呼吸困难伴意识改变数小时被送往急诊科就诊。
入院时,患者生命体征显示:心率 118次/分,血压 80/45 mmHg,吸氧桩体下血氧饱和度为90%。查体显示:腹部柔软,无膨隆,无压痛。
实验室检查结果显示:白细胞增多(15.4×10⁹/L)、C反应蛋白水平升高(13.48 mg/L)、pH值7.16,以及高碳酸血症(PaCO₂ 115 mmHg)。
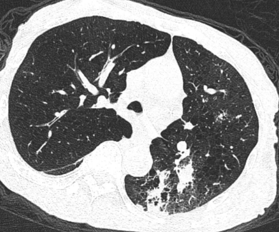
胸部CT提示存在肺部感染(图1)。

图1 胸部CT显示肺部斑片状感染灶
患者接受气管插管,随后转入ICU。ICU第2日,腹部X光检查未见明显异常。
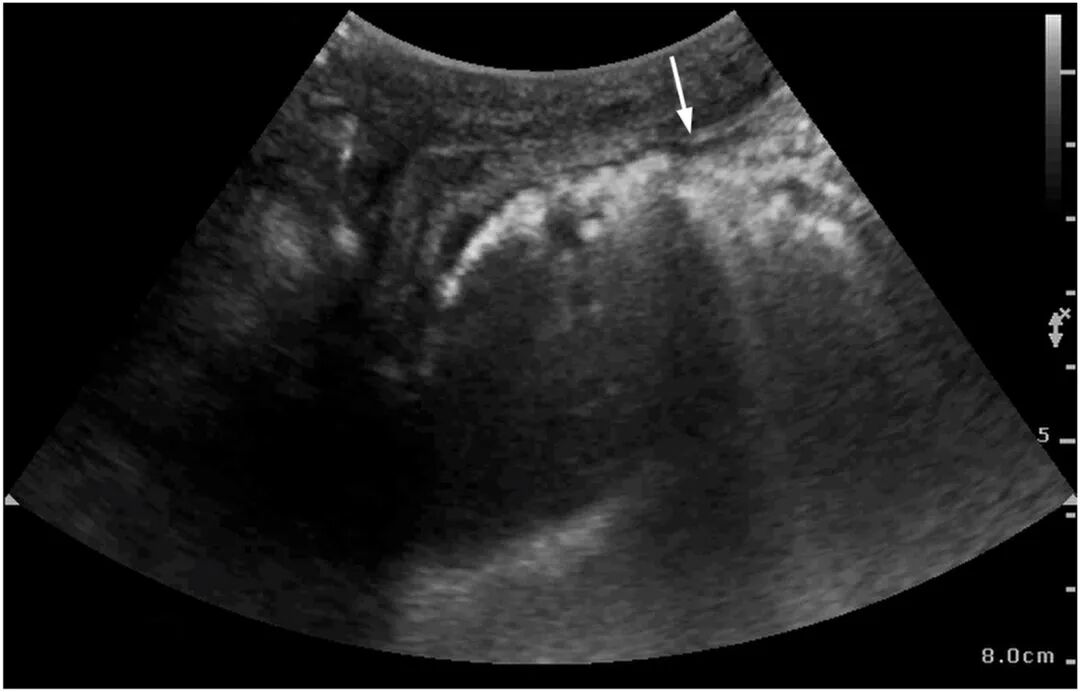
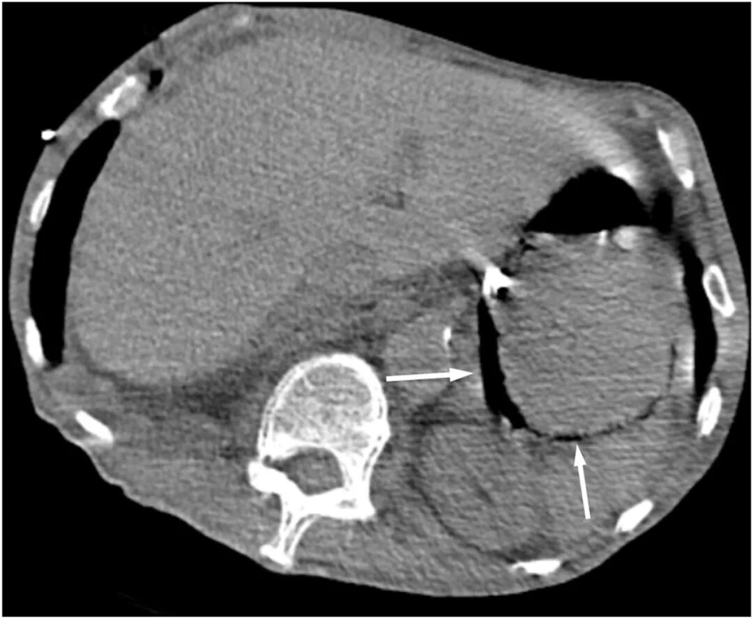
ICU第6日,患者因肠内营养不耐受出现轻微腹胀,C反应蛋白升高(199.69 mg/L),提示感染加重。鉴于病情变化,行床边即时超声检查,显示胃壁内出现“彗星尾”伪影(见图2、图3)。随后行腹部CT证实胃壁内气体积聚(图4)。

图2 床旁超声剑突下切面显示胃壁"彗星尾"伪影

图3 床旁超声左肋间切面显示胃壁"彗星尾"伪影(箭头)

图4 腹部CT显示胃壁黏膜下积气(箭头)

诊断:气肿性胃炎。

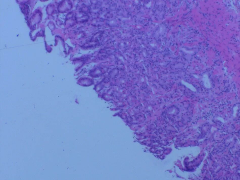
行上消化道内镜检查显示,胃体、胃大弯及前壁黏膜充血水肿(图5)。胃黏膜活检提示轻度慢性浅表性胃炎伴轻度急性活动性(图6),活检培养检出耐碳青霉烯鲍曼不动杆菌。

图5 上消化道内镜显示胃镜显示胃体、胃大弯及前壁显著黏膜充血水肿

图6 胃黏膜活检示轻度慢性浅表性胃炎伴轻度急性活动性
患者接受头孢哌酮舒巴坦联合多粘菌素E甲磺酸钠治疗,病情得到成功控制。

气肿性胃炎是一种罕见的感染性疾病,其特征为胃壁内气体积聚,通常由产气微生物引起,危重症患者多见,可危及生命。及时诊断和治疗对患者生存至关重要。
本例患者是一名患有慢性阻塞性肺疾病的79岁男性,其危重症状态和长期住院史可能增加了感染的易感性,这与既往文献中报道的糖尿病、免疫抑制及插管等基础疾病作为气肿性胃炎的常见危险因素相符。
胃壁内气体的存在是气肿性胃炎的关键影像学特征,通常可通过腹部CT得以明确。CT扫描能够清晰显示胃壁内的低密度线性影,有助于区分气肿性胃炎和良性胃气肿 。本病例中,在CT确诊前,通过床旁超声检查率先捕捉到了胃壁的“彗星尾征”伪像,这一发现为早期诊断提供了宝贵线索。“彗星尾征”通常与肺部和胆囊疾病相关。
此外,本病例的病原学诊断为耐碳青霉烯鲍曼不动杆菌感染,这是一种常见的医院获得性感染病原体,尤其在ICU患者中具有高耐药性,其导致气肿性胃炎的报道相对罕见。
参考文献:
1.Xu C, Zhou X, Xu Z . Comet Tail" Artifacts in the Gastric Wall. Annals of Emergency Medicine, 87, 540-541
2.Jenkins JK, Georgiou A, Laugharne M, Meisner S, Cook T. Emphysematous gastritis in a patient with neutropenic sepsis: A case report and literature review with comment on management. J Intensive Care Soc. 2023 Aug;24(3):328-331. doi: 10.1177/17511437231153048. Epub 2023 Feb 12. PMID: 37744070; PMCID: PMC10515328.
3.Iwamuro M, Takenaka R, Toyokawa T, Kita M, Tsuzuki T, Yoshioka M, Gotoda T, Okanoue S, Matsubara M, Sakaguchi C, Otsuka M. Endoscopic and clinical features of gastric emphysema. Sci Rep. 2024 Jan 25;14(1):2202. doi: 10.1038/s41598-024-52633-z. PMID: 38273039; PMCID: PMC10810885.
4.Reyes JV, Alluri RS, Al-Khazraji A, Seen T, Walfish A. A Case of Gastric Emphysema: Incidental Findings or Serious Illness. Cureus. 2020 Nov 19;12(11):e11568. doi: 10.7759/cureus.11568. PMID: 33364095; PMCID: PMC7749797.
责编|Zelda
封面图来源|视觉中国


56岁男子黑便多日,病因却埋藏6年之久!如何化解危机?丨医起推理吧

薪酬改革、盘活编制……上海三明医改交出亮眼答卷:真金白银投入、资源真正下沉,为全国大城市提供了范本
医脉通是专业的在线医生平台,“感知世界医学脉搏,助力中国临床决策”是平台的使命。医脉通旗下拥有「MedSeeker」「临床指南」「用药参考」「医学文献王」「医知源」「e研通」「e脉播」等系列产品,全面满足医学工作者临床决策、获取新知及提升科研效率等方面的需求。

☟戳这里,更有料!

