【妇科肿瘤诊治中心】不放弃希望,创新临床研究助复发难治性宫颈癌患者控制病情
发布时间:2026-04-14来源:医药魔方网


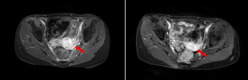
福建省肿瘤医院妇科肿瘤诊治中心是国家临床重点专科、福建省妇科恶性肿瘤精准治疗临床医学研究中心,同时也是国家第一批卵巢癌与宫颈癌规范诊疗质量控制试点中心。作为省内规模最大的妇科肿瘤综合治疗中心,年收治宫颈癌、卵巢癌、子宫内膜癌及外阴癌等妇科恶性肿瘤患者病例数均居省内各大医院首位。中心始终致力于将最新的科技成果造福于广大肿瘤患者,以高质量临床工作为基石,在临床转化研究领域不断取得新突破。近年来,不仅积极参与,更主动发起多项国际与全国多中心临床研究,目前国际、国内有关妇科恶性肿瘤最具前景的创新药物在中心均具有可及性。中心通过MDT汇集肿瘤外科、肿瘤内科、放射治疗科、影像科、病理科等多个学科专家,为患者提供规范全面的高质量手术与放射治疗等综合治疗体系,更是整合最新的靶向与免疫治疗策略,为晚期及复杂疑难妇科恶性肿瘤患者精准制定个体化治疗方案,让患者最大化的治疗获益。
妇科肿瘤诊治中心/供稿
陈文娟 詹庆珍/文
冯梅/审

编排 | 傅梦颖 林桂华


转载说明:本文系转载内容,版权归原作者及原出处所有。转载目的在于传递更多行业信息,文章观点仅代表原作者本人,与本平台立场无关。若涉及作品版权问题,请原作者或相关权利人及时与本平台联系,我们将在第一时间核实后移除相关内容。

