Adv Sci:肿瘤“帮凶”细胞如何助癌“隐身”?哈尔滨医科大学麻勇/吴耀华揭示CAF发送ANGPTL4信号,重编程肿瘤细胞以实现免疫逃逸
癌症相关成纤维细胞(CAFs)驱动肝细胞癌(HCC)中的免疫抑制。然而,它们的代谢调节仍然不明确。
2026年4月14日,哈尔滨医科大学麻勇、吴耀华共同通讯在
Advanced Science(IF=14.1)
在线发表题为
Cancer-Associated Fibroblasts Promote Tumor Immunosuppression in Hepatocellular Carcinoma via the NNMT-ANGPTL4 Axis
的研究论文。
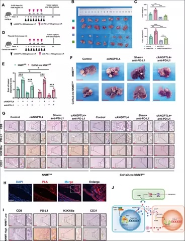
本研究探究烟酰胺N-甲基转移酶(NNMT)在CAFs中的作用。通过Western印迹和免疫荧光染色证实,CAF组织中NNMT呈高表达。整合HCC患者原代CAFs、单细胞RNA测序(GSE149614)、患者来源类器官(PDOs)及成纤维细胞特异性NNMT敲除小鼠模型进行代谢组学分析。CAFs中的NNMT可与EZH2结合并抑制其核转位,进而降低血管生成素样蛋白4(ANGPTL4)启动子区H3K27me3富集水平,上调ANGPTL4的分泌。
分泌的ANGPTL4与HCC细胞上的GLUT1结合,激活有氧糖酵解并提高组蛋白H3K18la水平。该表观遗传重编程可转录上调PD-L1表达,进而促进肿瘤免疫逃逸。此外,CAFs来源的ANGPTL4可促进HCC血管新生。在患者来源异种移植瘤(PDXs)及成纤维细胞特异性NNMT敲除小鼠模型中,靶向NNMT-ANGPTL4轴可恢复CD8⁺T细胞活性,并与抗PD-L1治疗发挥协同作用。
本研究发现CAFs中存在由NNMT-ANGPTL4介导的代谢-表观遗传级联反应,可诱导PD-L1依赖的肿瘤免疫逃逸,为克服HCC患者免疫治疗耐药提供了新的治疗策略。

肝细胞癌(HCC)是一种高发恶性肿瘤,70%~80%的患者确诊时已处于晚期。尽管局部联合系统治疗旨在延长晚期HCC患者的生存期,但靶向药物疗效仍不理想,多项新型药物临床试验均遭遇临床失败。因此,发掘新的治疗靶点、开发更有效的治疗方案对HCC的诊疗至关重要。
肿瘤微环境(TME)是一个由复杂的肿瘤-基质相互作用构成的多细胞生态系统,其中癌相关成纤维细胞(CAFs)是关键调控成分。CAFs一方面通过分泌可溶性因子与外泌体直接调控肿瘤细胞,另一方面通过重塑细胞外基质(ECM)间接促进肿瘤进展。
此外,CAFs在增强肿瘤恶性表型的同时,还可募集中性粒细胞、单核细胞等免疫抑制细胞,进而构建免疫耐受微环境,促进肿瘤免疫逃逸。烟酰胺N-甲基转移酶(NNMT)属于N-甲基转移酶家族,因其在调控烟酰胺甲基化过程中发挥促癌作用,已成为肿瘤学研究的重要热点。多项研究一致表明,NNMT在结直肠癌、胃癌、卵巢癌等多种恶性肿瘤中表达上调,提示其可作为重要的肿瘤标志物。
既往研究已证实NNMT是CAFs中的核心代谢调控因子,前期研究也进一步阐明了其在肝内胆管癌进展中的驱动作用。尽管已知NNMT在肝脏中高表达,但其在HCC相关CAFs中的具体生物学功能仍不明确,亟待深入研究。

NNMT-ANGPTL4轴是HCC免疫治疗中极具前景的治疗靶点(摘自
Advanced Science
)
本研究揭示NNMT在CAFs中高度表达,并介导HCC细胞的免疫逃脱。进一步研究显示,NNMT可以促进ANGPTL4的分泌,这是一种结构类似血管生素的细胞因子,在葡萄糖代谢、脂质代谢、炎症反应和血管生成中发挥重要作用。来源于CAFs的ANGPTL4可激活HCC细胞的有氧糖酵解并上调PD-L1表达,进而介导免疫逃逸。此外,ANGPTL4还可促进血管新生,协同推动肿瘤进展。
本研究阐明了NNMT-ANGPTL4轴在HCC的CAFs中促进免疫抑制与血管生成的复杂作用,证实该轴是提升免疫治疗疗效的关键治疗靶点。
原文链接:https://doi.org/10.1002/advs.202521418
