行业观察

基于单细胞测序技术的细胞通讯分析方法及其应用

一、细胞通讯与单细胞测序技术的研究意义 多细胞生物由不同类型的细胞构成一个开放的社会。在这一社会中,单个细胞之间必须协调其行为,因此建立有效的通讯联络机制至关重要。细胞通讯是指一个细胞发出的信息通过介质传递至另一个细胞,并引发相应反应的过程。在动物和植物中,利用化学信号分子进行细胞间通讯是最为普遍的方式。其中,配体-受体复合物介导的细胞-细胞通讯在协调发育、分化及炎症等多种生物学过程中发挥着关键作

发布时间:2026-04-07来源:健康界
囊性听神经瘤手术难度更大吗?聚焦肿瘤全切与面神经保护困局

囊性听神经瘤因其与面神经关系密切,对外科手术构成挑战。虽然全切是首要目标,但考虑到对患者生活质量的影响,保护面神经功能至关重要。一个标志性的挑战是蛛网膜平面的消失,尤其是在靠近脑干和面神经的区域。有时,结构不稳定和粘连导致的解剖平面缺失,使得全切缺乏安全的操作通道。囊性变性、反复的微出血以及促进瘤周纤维化的慢性炎症,可能破坏自然的分离界限。囊性听神经瘤手术为何具有挑战?个体化手术决策是关键 囊性听

发布时间:2026-04-07来源:健康界
CD11b:一个多功能免疫受体的科学解读

CD11b,也称为巨噬细胞-1抗原(Mac-1)或整合素αM链,是由ITGAM基因编码的一种跨膜糖蛋白。它与CD18共同构成异源二聚体整合素Mac-1(αMβ2),主要表达于单核细胞、巨噬细胞、中性粒细胞、自然杀伤细胞和部分树突状细胞表面。作为先天免疫系统的关键识别受体,CD11b在炎症反应、细胞黏附、吞噬清除和免疫调节中发挥核心作用。结构与功能基础CD11b的胞外区包含一个I结构域,可直接识别多

发布时间:2026-04-07来源:健康界
NAFLD不影响核苷经治患者加用PegIFNα的治疗疗效

编者按:世界卫生组织2021年数据显示,全球约有2.96亿慢乙肝(CHB)患者。近年来,随着生活方式和饮食结构的改变,非酒精性脂肪性肝病(NAFLD)也成为全球高发的慢性肝病。一项荟萃分析表明,中国一般人群中慢乙肝合并脂肪肝的总患病率为1.48%,慢乙肝患者中脂肪肝的总患病率高达26.75%。然而,NAFLD对慢乙肝患者抗病毒治疗疗效的影响仍存在争议。来自徐州医科大学附属医院潘修成教授、李丽教授联

发布时间:2026-04-07来源:健康界
孩子语言发育迟缓,在家怎么教?

语言发育迟缓是儿童期常见的发育问题,指孩子在语言理解、表达、交流等方面,明显落后于同龄儿童的正常发育水平。很多家长发现孩子语言落后时,容易陷入焦虑,却不知道家庭干预是最基础、最有效的辅助方式。其实,只要掌握科学方法,在日常生活中循序渐进引导,就能帮助孩子逐步提升语言能力,以下是专业且实用的家庭教学建议。首先,家长要明确核心原则:多输入、少强迫、强互动、重耐心。语言发育迟缓的孩子,并非“不会说”,更

发布时间:2026-04-07来源:健康界
TR-FRET技术的TNF-α/TNFR2

一、研究背景与科学问题自然杀伤细胞是先天性淋巴细胞,在对微生物感染的早期反应中发挥重要作用。感染或炎症发生后,自然杀伤细胞迅速增殖,成为主要的细胞毒性细胞。在此过程中,自然杀伤细胞经历代谢重编程,以支持其扩增和分化为强效效应细胞。IL-2和IL-15可激活mTORC1,该通路是通过上调多种糖酵解酶和GLUT1进行糖酵解重编程所需的关键代谢传感器。先前研究表明,TNF-α信号通过TNFR2增强自然杀

发布时间:2026-04-07来源:健康界
基于GeoMx DSP空间多组学技术的癌症研究进展

GeoMx® Digital Spatial Profiler(DSP)作为空间生物学领域的重要技术之一,推动了空间多组学研究的发展进程,并在临床转化中展现出广泛应用前景。该技术能够满足肿瘤学、肿瘤免疫、传染病、免疫性疾病、神经科学、发育生物学及药物研发等多个领域在不同研究阶段的实际需求。本文通过四篇高分研究文章,聚焦DSP空间多组学技术在癌症研究中的具体应用,以期为相关领域的研究提供参考。 通过

发布时间:2026-04-07来源:健康界
按人头付费+礼品卡诱导患者,美国德州起诉牙医及多家关联诊所

据悉,2026年3月31日,德克萨斯州检察长 Ken Paxton 就牙科诊所欺诈德克萨斯州医疗补助计划(Medicaid)一事提起诉讼,指控多名牙医及其关联诊所按患者数量向第三方支付费用,并通过现金、礼品卡等方式诱导医疗补助受益人就诊,进而提交受回扣影响的索赔。根据德克萨斯州检察长办公室(Office of the Attorney General,下称"OAG")官方公告,相关"服务提供方被告

发布时间:2026-04-06来源:健康界
百亿美金之后,国产IL-4Rα的“牌”怎么打?

在IL-4Rα这一黄金赛道,百亿美金级的超级大单品度普利尤单抗与国产企业康诺亚的司普奇拜单抗,曾双雄并立。然而,这一看似稳固的格局却在近期悄然生变——康方生物的曼多奇单抗与三生国健的SSGJ-611相继申报上市,这使得待上市产品骤然增至五款,剑指同一靶点。更令人瞩目的是,在这场已趋白热化的竞速中,还有多款创新药和仿制药产品已悄然步入临床Ⅲ期。当前国内该靶点的竞争已形成 “1款进口引领+1款国产已上

发布时间:2026-04-07来源:健康界
自噬的生物学基础、研究价值与检测方法综述

一、自噬的基本概念与生物学意义 自噬(Autophagy)是一种高度保守的细胞自我调节机制,广泛存在于真核生物中。通过该过程,细胞能够识别并包裹自身受损的细胞器、错误折叠的蛋白质及其他多余或有害组分,进而将其运输至溶酶体进行降解,并将降解产物重新利用,以维持细胞内部的稳态与功能完整性。自噬在细胞质量控制、代谢适应以及机体发育与免疫应答中发挥关键作用。二、自噬的主要分类 根据细胞内物质被运送至溶酶体

发布时间:2026-04-07来源:健康界
MTS检测:打开细胞生命活动的“信号灯”

只需将一种水溶性试剂加入细胞培养孔,几小时后颜色深浅就能精确反映细胞增殖情况。MTS检测试剂盒的核心是基于水溶性MTS化合物的比色法检测方法,能够定量评估活细胞数量和代谢活性。它通过活细胞中的脱氢酶将MTS还原为水溶性的甲臜产物,该产物在490-500 nm波长处有特征吸收峰,其吸光度值与细胞数量成正比。这一技术已成为生物医学研究中评估细胞增殖、毒性和活力的核心工具。01 检测原理与机制MTS是“

发布时间:2026-04-07来源:健康界
FDA警告信:械企违规多达9项(体系/未获批/报告/UDI)

2025.4.29至2025.6.18期间,FDA在美国本土生产现场检查中发现并认定: 临床电子体温计、临床温度监测探头、针型微探针是“伪劣医疗器械” ,原因为其生产、包装、储存或安装所用方法、设施或控制措施不符合21 CFR Part 820《联邦法规法典》21编820部分的质量体系法规中现行良好生产规范要求。基于此,FDA于官网公布警告信并列出多项检查发现的违规行为↘一. 质量体系的违规行为

发布时间:2026-04-07来源:健康界
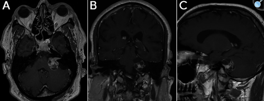
深度解读松果体区肿瘤的临床表现有哪些

一名72岁男性于2004年首次就诊,症状表现为严重头痛、癫痫发作和步态不稳。影像学检查显示松果体区占位性病变伴脑积水。内镜下第三脑室造瘘术并行肿瘤活检,但结果未能明确诊断。患者接受了为期3年的临床和影像学随访,后失访。在随访期间,病变无明显症状,且重复MRI检查显示其大小增长甚微。 初次治疗11年后,患者因出现为期3个月的显著步态缓慢、不稳及间歇性视力模糊再次就诊。其记忆力、注意力及专注力亦进行性

发布时间:2026-04-07来源:健康界
医院迎评数据合规与质控全指南

当前,等级医院评审已全面进入“数据驱动、常态监测、精准核查”的新阶段,国家卫健委《三级医院评审标准(2025年版)》明确提出,评审核心依托“国家/省级卫生健康数据平台”,实现“日常监测为主、现场核查为辅”的评审模式。这意味着,数据成为评审的“硬通货”,也是专家现场核查的核心重点。 结合多年评审专家经验,我们发现:评审中90%以上的“问题点”都集中在数据上,且多数医院并非“数据不达标”,而是“数据管

发布时间:2026-04-07来源:健康界
长绒棉:报价止涨趋稳 棉企看涨后市

据部分棉花贸易企业、长绒棉轧花厂表示,近1周多来郑棉震荡回调,疆内外仓储库2025/26年度新疆长绒棉成交不活跃,但长绒棉报价逐渐止涨趋稳,大部分棉企优惠幅度较小,并不急于出货,其中内地库出货仍以2023/24、2024/25年度陈棉为主,新疆库2025/26年度长绒棉成交占比持续回升至50%以上。4月6-7日南疆库2024/25年度336/337级(断裂比强度38-40CN/TEX)长绒棉报价多

发布时间:2026-04-07来源:中国棉花网