行业观察

别让生命“慢”下来,一起读懂这种“抖”背后的真相

很多人以为,帕金森病就是“手抖”。其实,真相远比你想象的复杂。什么是帕金森病?帕金森病是一种慢性、进行性的神经系统退行性疾病,主要源于大脑中分泌多巴胺的神经元逐渐退化、死亡。多巴胺是控制人体平滑运动和协调的关键物质,当它的分泌减少到一定程度时,身体就会出现一系列运动障碍。常见症状包括:静止性震颤:手、脚或下颌在放松时不自主抖动,像在“搓丸子”肌强直:四肢僵硬,活动时像“齿轮卡顿”运动迟缓:动作变慢

发布时间:2026-04-10来源:健康界
基于TR-FRET技术的PD1/PD-L1抑制剂作用机制研究

一、PD1与PD-L1抑制剂的作用机制差异PD1抑制剂和PD-L1抑制剂作为作用于同一通路的免疫检查点抑制剂,通过阻断PD1与PD-L1的结合,增强T细胞对肿瘤细胞的识别与杀伤来实现抗肿瘤作用。两者虽然作用于同一通路,但作用机制存在差异。PD-L1抑制剂为IgG1抗体,IgG1具有识别致病抗原的生物学作用,能够识别肿瘤细胞表面表达的PD-L1。PD-L1抑制剂通过识别肿瘤细胞表面的PD-L1并与其

发布时间:2026-04-13来源:健康界
顺德家电会议嘉宾展商全揭晓

随着家电智能化浪潮席卷全球,家电半导体芯片的高集成度、高能效设计与AI交互能力正重塑产业竞争格局。为应对家电市场对智能控制与变频驱动家电技术的迫切需求,由Big-Bit商务网主办、《半导体器件应用》杂志承办的第22届(顺德)家电电源与智能控制技术研讨会将于2026年4月24日在广东顺德隆重召开。本次家电会议以“创芯赋能智联人居”为主题,家电会议深度聚焦家电电源管理、智能控制、EMI电磁兼容设计等家

发布时间:2026-04-12来源:艾肯家电网
死细胞去除磁珠如何提升稀有细胞分析的准确性?

一、为什么死细胞会干扰下游分析结果?在单细胞测序、流式细胞术及循环肿瘤细胞检测等前沿技术中,样本中死细胞的存在始终是影响数据质量的关键因素之一。死细胞在凋亡或坏死过程中会释放DNA酶、蛋白酶及自身抗原,这些物质不仅会降解活细胞内的目标核酸分子,还可能诱发非特异性抗体结合,导致背景信号显著升高。此外,死细胞的膜通透性增加,使得荧光染料或核酸标记物易于被动扩散进入胞内,从而产生高比例的假阳性信号。尤其

发布时间:2026-04-13来源:健康界
5岁孩子尿床,不是膀胱没长好,可能是心理压力和睡眠障碍在作祟

提到孩子尿床,很多家长都会认为“是膀胱没长好”“孩子太懒,不想起床排尿”,甚至批评、惩罚孩子,却忽略了一个容易被忽视的原因——心理压力和睡眠障碍。其实,很多5岁孩子尿床,并非生理问题,而是心理压力过大、睡眠过深导致的,盲目批评只会加重孩子的心理负担,让尿床问题越来越严重。很多家长不知道,儿童遗尿症,除了膀胱功能发育不完善、抗利尿激素分泌不足等生理因素,心理压力和睡眠障碍也是重要诱因。尤其是5岁左右

发布时间:2026-04-13来源:健康界
美国牙科协会:牙科耗材成本涨6%,行业面临“财务挤压”

图源:《2026年第一季度美国经济状况报告》据报道2026年4月,美国牙科协会(ADA)健康政策研究所(HPI)发布的最新报告《2026年第一季度美国经济状况报告》显示,截至2026年2月的12个月内,牙科设备和用品的成本上涨了6%。与此同时,牙科从业人员的小时工资仅增长了2%,与同期2%的整体通胀率持平。报告指出,由于成本增速远超收入增长和薪酬调整,美国牙科诊所正面临持续的“财务挤压”(fisc

发布时间:2026-04-13来源:健康界
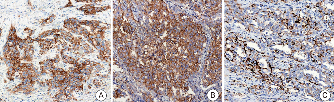
免疫组织化学 (IHC) 常用的肿瘤标志物_MCE 中国

Section.01肺癌标志物 PD-L1PD-L1—— 免疫检查点分子,属于 B7-CD28 免疫调节超家族。定位: 细胞膜。功能: PD-L1 是一种跨膜蛋白。其主要生理功能是在免疫突触中与免疫 T 细胞表面的 PD-1 受体结合,传递抑制性信号,通过抑制 T 细胞活化和增殖来发挥作用。肿瘤细胞或肿瘤微环境中的免疫细胞会高表达 PD-L1,与浸润 T 细胞的 PD-1 结合,从而“关停” T

发布时间:2026-04-10来源:健康界
世界帕金森病日:科技赋能,让“帕友”不再怕

2026年4月11日是第30个世界帕金森病日,今年的主题是“科技赋能,智护全程”,从神经调控到人工智能,从规范诊疗到居家管理,越来越多的科学手段正帮助“帕友”提升生活质量,活出属于自己的从容节奏。 帕金森病是一种常见的神经系统退行性疾病,其核心病变在于大脑内多巴胺分泌不足。随着我国人口老龄化进程加快,患病人数逐年递增,已成为威胁中老年健康的主要疾病之一。近年来,帕金森病呈现年轻化趋势。 认识帕金森

发布时间:2026-04-13来源:健康界
运动后为何神清气爽?原来这才是细胞的 “激活密码”

刚结束一场 30 分钟的慢跑,满身汗水却丝毫没带来疲惫感,反而觉得思维清晰、心情舒畅;练完一组瑜伽拉伸,紧绷的神经瞬间松弛,连日常琐碎的烦恼都淡了几分。很多人都有过这样的体验:运动后身体明明处于疲劳状态,精神却格外亢奋、通透。这并非单纯的 “心情愉悦”,而是 细胞层面的深度唤醒 —— 运动,正是激活身体自愈力、提升细胞活性的天然 “开关”。一、运动:精准按下细胞的 “激活按钮”人体就像一个精密的生

发布时间:2026-04-13来源:健康界
阜外华中心血管病医院义诊暖透玄天庙古村

春和景明,古村焕彩。4月11日上午9时,由新华网、新华社河南分社、河南省农业农村厅指导,新华网河南分公司等单位主办,登封市人民政府承办的 “禾力乡村·徒步河南——踏春寻芳访古村,医心护航助振兴” 活动,在登封市少林街道玄天庙村正式启幕。作为中国美丽休闲乡村,玄天庙村的青山绿水间,徒步爱好者的活力与医护人员的温情交相辉映,而主会场旁的公益义诊区,更成为这场活动中最暖人心的风景—— 阜外华中心血管病医

发布时间:2026-04-13来源:健康界
100个5G工厂典型应用实践发布 海信旗下两家工厂入选

【环球网科技综合报道】近日,工业和信息化部正式发布《2025年5G工厂典型应用实践》,从全国遴选出100个技术先进、具有标杆引领作用的优秀案例,海信旗下两家5G工厂成功入选,为制造业“5G+工业互联网”融合应用提供了可复制、可推广的实践范本。海信视像5G+AI数智链接智能显示工厂,融合新一代5G通信、人工智能、大数据等先进技术,打造生产过程溯源、数字化精益、AI视觉检测、设备预测性维护、智能物流配

发布时间:2026-04-13来源:环球网科技
内稳外强格局延续 价差进一步收窄

【概要】本周,国内棉价在植棉面积预期减少及下游需求保持韧性的影响下,整体偏强震荡;国际棉价获美棉主产区干旱加剧、油价高企等因素的影响继续上行。内外棉价差进一步收窄。一、价格回顾国内方面,随着棉花春播全面展开,新疆棉种植面积减少的预期持续发酵;下游虽现转弱迹象,但整体表现仍强于去年同期,具有较强韧性。以上情况推动国内棉价震荡偏强。本周郑州棉花期货主力合约结算均价15363元/吨,较前周上涨32元/吨

发布时间:2026-04-12来源:中国棉花网
今年新疆铁路棉花运量同比增长近2倍

从中国铁路乌鲁木齐局集团有限公司获悉:截至4月10日,今年新疆铁路运输棉花、棉纺织品69.5万吨,同比增长137%,其中运输棉花49.3万吨,同比增长196.8%。4月10日,一列装载1118吨棉花的“雪莲速运”班列从巴楚站驶出开往山东省。开年以来,随着市场转暖,棉花、棉纺织品运输需求旺盛,展现出新疆特色优势产业稳步发展的勃勃生机。新疆铁路部门实施“稳大宗、增白货”战略,全新打造“‘雪莲速运’棉花

发布时间:2026-04-13来源:新疆日报
印度棉花协会上调2025/26年度印度棉花产量预估至3240万包

4月11日(周六),印度棉花协会(CAI)将2025/26年度印度棉花产量预估从此前的3205万包小幅上调至3240万包(每包170公斤)。2024/25年度该国棉花产量估计为3124万包。本次棉花产量预估被上调35万包,这主要得益于马哈拉施特拉邦产量超出预期,抵消古吉拉特邦、中央邦的产量下滑影响。印度棉花协会主席VinayNKotak及协会作物委员会主席AtulSGanatra表示,马哈拉施特拉

发布时间:2026-04-13来源:锦桥纺织网
印度棉价格走强 因需求强劲

4月10日(周五),受强劲需求推动,印度棉价进一步走强,本年度首次突破每包(356公斤)60000卢比大关。印度国内价格跟随洲际交易所(ICE)的期货价格走势,该交易所7月交割合约周五上涨至75美分/磅以上,创下2024年11月以来最高水平。周五,印度棉花公司(CCI)将棉价每包上调300卢比。过去2周,CCI已累计上调价格约1400卢比/包,过去数月累计涨幅则达约4500卢比。与此同时,美国农业

发布时间:2026-04-13来源:锦桥纺织网