行业观察

《药品现代物流规范化建设指导意见》政策问答

《药品现代物流规范化建设指导意见》(以下简称《意见》)已经发布。为及时回应业界关切,国家药监局药品监管司整理形成了《意见》相关政策问答。 问:《意见》的起草背景是什么? 答:推动药品批发企业有序高效开展药品现代物流规范化建设是实现药品流通行业高质量发展,保障药品安全、可及的重要举措。2015年,原国家食品药品监督管理总局印发《关于全面监督实施新修订〈药品经营质量管理规范〉有关事项的通知》(食药监办

发布时间:2026-03-27来源:国家药监局
省卫生健康委领导调研医用筒式血压仪配备使用试点工作

3月26日下午,省卫生健康委党组书记、主任谭颖带队赴南京市溧水区晶桥镇云鹤山村卫生室,专题调研省政府民生实事项目——村卫生室医用筒式血压仪配备使用情况。 调研中,谭颖仔细察看了医用筒式血压仪部署运行情况,现场观看村民自助测量血压及数据自动上传居民电子健康档案的全流程,详细了解设备试点服务人次、使用频次、日常运维等情况,与村医、村民深入交流,听取设备使用体验及优化改进的意见建议。 谭颖强调,要提高政

发布时间:2026-03-27来源:江苏省卫生健康委员会
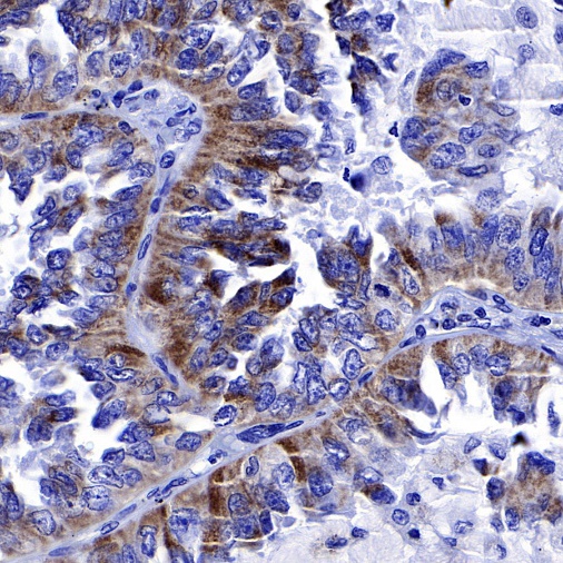
ACVR2A:从转化生长因子-β“低调”的共受体

摘要ACVR2A(Activin A Receptor Type 2A)是转化生长因子-β(TGF-β)超家族信号通路中的一个关键受体。长期以来,它常被视为激活素(Activin)信号的“默认”传导者,但其在生理及病理过程中的作用远不止于此。近年来,随着对TGF-β家族信号网络复杂性认识的加深,ACVR2A在肿瘤发生、纤维化疾病、生殖发育以及骨骼肌肉系统中的独特功能逐渐被揭示。本文旨在从分子结构、

发布时间:2026-03-27来源:健康界
EGFR抗体如何突破突变肺癌治疗瓶颈?

一、EGFR在肺癌发生中扮演什么角色?EGFR是一种编码表皮生长因子受体的原癌基因,其蛋白产物位于细胞膜表面,属于受体酪氨酸激酶家族。在正常生理状态下,EGFR受配体激活后短暂启动下游信号通路,调控细胞增殖、存活及组织修复,信号传导完成后即被迅速关闭。然而,在非小细胞肺癌患者中,EGFR基因发生体细胞突变,导致受体不依赖配体持续活化,下游RAS/RAF/MEK/ERK及PI3K/AKT/mTOR信

发布时间:2026-03-27来源:健康界
中国麻醉周 | 看麻醉技术如何与神经外科“共舞”

2026 中国麻醉周大脑,是人体最精密的“司令部”,密密麻麻的神经纤维纵横交错,语言、运动等核心功能区更是维系正常生活的关键。曾几何时,一旦病变出现在大脑区域,便会陷入治疗难度高、风险大的困境。而如今,随着麻醉技术与神经外科诊疗的深度融合,曾经难以攻克的治疗难题正在被逐一破解,越来越多的脑部疾病,可以通过精准协作实现有效治疗,为患者带来新生希望。在神经外科手术中,麻醉医生的价值是无可替代的。恰逢中

发布时间:2026-03-27来源:健康界
高血压患者有这么多东西不能吃?

每次提到高血压饮食,很多患者的第一反应是“束手束脚”——这个不能碰,那个要远离。其实,掌握核心禁忌,避开关键雷区,控压饮食也可以轻松又安心!PART 01高热量“炸弹”:肥胖的推手 高热能食物(如油炸食品、甜点、碳酸饮料)不仅是肥胖的元凶,还会间接推高血压。肥胖者高血压风险显著升高,且超重会加剧血压控制难度。建议用水果、燕麦等低热量高纤维食物替代零食。PART 02油脂陷阱:血管的隐形敌人• 饱和

发布时间:2026-03-27来源:健康界
中国中老年人社交隔离和孤独与心血管疾病发病风险的关联研究

摘要: 背景 心血管疾病是我国乃至全球居民死亡的主要原因,社交隔离和孤独与心血管健康密切相关。然而,目前的研究聚焦于欧洲人群,且研究结果并不一致。在中国人群中,尚未有充分证据同时探讨社交隔离和孤独感对心血管疾病发病风险的影响。 目的 探讨中国中老年人社交隔离和孤独与心血管疾病发病风险的独立和联合关联。 方法 本研究的开展时间为2024年8月,研究对象来自中国健康与养老追踪调查,剔除基线患有心脏疾病

发布时间:2026-03-27来源:健康界
Chiari畸形(小脑扁桃体下疝畸形CM)

Chiari畸形是一种先天性后颅窝发育畸形病症,核心是小脑组织向下疝出到椎管。该病有四个分型,其中Ⅰ型、Ⅱ型较为常见,Ⅲ型、Ⅳ型则相对罕见且严重。本次学术荟萃系列通过介绍Chiari畸形的概念、解剖特点、临床症状、相关影像检查及表现,以病例分析为切入点,深入探讨该病的诊断要点,并展示MRI在其诊断方面的重要作用。Chiari畸形 (小脑扁桃体下疝畸形CM)先天性后颅窝发育畸形概 述CM(Chiar

发布时间:2026-03-27来源:健康界
2025年医疗器械设备更新市场报告

01拟 建 项 目| 1、趋势 截至2025年底,我国医疗领域设备更新拟建项目数量共计2197个,其中1152个项目披露了预算金额,占比约52.4%,披露总预算金额约946亿元,单个项目平均预算金额约8210万元。图 1 2024-2025年我国设备更新拟建项目趋势情况 数据来源:众成数科-医械云标讯MDBIDS| 2、区域分布从省份分布看,2025年全国共有30个省/直辖市/自治区开展了医疗设备

发布时间:2026-03-27来源:健康界
双相情感障碍:情绪的过山车

生活里,我们都体验过情绪的起伏,有时开心,有时低落。但对有些人来说,情绪的波动像是失控的过山车,从兴奋的顶峰猛地跌入绝望的谷底——这可能是双相情感障碍在作祟。什么是双相情感障碍?双相情感障碍,旧称躁郁症,是一种严重影响情绪稳定的精神疾病。患者会经历两种极端的情绪状态:躁狂或轻躁狂发作,以及抑郁发作。在躁狂发作期,患者可能感到异常兴奋、精力旺盛、思维奔逸、话多语速快、睡眠需求减少,甚至做出冲动决定,

发布时间:2026-03-27来源:健康界
2026 年护理信息化发展趋势:从单一场景到全病程管理

开篇 随着公立医院高质量发展进入深水区,护理高质量发展已经成为医疗质量提升的核心抓手,而护理信息化,正是推动护理行业高质量发展的核心引擎。 回顾过去十年,护理信息化完成了行业普及的 “上半场”:从纸质文书到电子记录,从线下管理到线上管控,全国各级医院基本完成了护理信息化的基础建设,解决了 “有没有” 的问题。 而进入 2026 年,护理信息化已经正式进入 “下半场”:行业的核心需求,已经从 “基础

发布时间:2026-03-27来源:健康界
肾病患者容易踩的5个饮食误区

误区一:蛋白质误区——要么猛补,要么全戒 “肾不好要少吃蛋白”这句话,很多肾友都理解错了。有人觉得生病要补,大鱼大肉吃得欢;有人则吓得直接戒掉所有肉蛋奶。这两种“一刀切”的做法,对肾脏都是伤害。 过量摄入:就等于让原本就“带病上岗”的肾脏天天加班,时间长了,残余的肾功能会加速硬化、报废。 完全不吃:身体没有足够的蛋白质来源,就会分解自身的肌肉。结果就是免疫力下降,动不动就感冒感染,反而更容易诱发肾

发布时间:2026-03-27来源:健康界
现场直击丨国医科技重磅亮相2026中国医学装备大会

3月26日,2026中国医学装备大会暨医学装备展览会在重庆国际博览中心盛大启幕。国医科技携智慧医院物资管理全场景解决方案强势登陆N1馆A16展位,更以独家巨幅玻璃贴广告占据大会主登录厅出入口核心视觉,实力斩获本届展会“门面担当”之称,一经亮相便成为全场瞩目的焦点。从标杆医院走来,更懂医院所需展会现场,国医科技“纯第三方SPD服务模式”引发广泛关注。区别于传统商业模式,国医科技始终坚守第三方中立立场

发布时间:2026-03-27来源:健康界
研发智能医疗软件产品常犯的错误

当今,人工智能席卷全球,无行业不AI,医疗行业也不例外。智能医疗软件产品层出不穷,互联网大厂或试水止步,或一路高歌;医疗信息企业或AI赋能老产品,或开发独立智能医疗软件产品;部分医院或自研、或联合,也推出系列独立智能医疗软件产品;各地政府出台政策,鼓励本地企业抢占先机。借助审议智能医疗软件产品研发项目体会,将研发智能医疗软件产品常犯错误分享一二。 错误一,将信息系统建设当成智能医疗软件产品研发 广

发布时间:2026-03-26来源:健康界
全岛封关运作百日,海南旅游从“开门红”到“百日新”

2026年3月27日,海南自贸港全岛封关运作整整一百天。 这一百天,是政策落地见效的一百天,是市场活力释放的一百天,也是海南向世界展示开放姿态的一百天。 百日回眸,从元旦假期的火热开局,到春节黄金周的客流如潮,再到国际赛事接连落地、入境游客纷至沓来,海南旅游文化市场热度层层攀升、好戏连台,交出了一份成色十足的“开门红”答卷。 一百个日日夜夜,海南自贸港旅文广体领域高热度开局、高品质供给、高水平服务

发布时间:2026-03-27来源: 海南日报