行业观察

罗湖区人民医院携手喀什地区妇幼保健院开展无痛分娩科普公益活动

2026年3月,罗湖区人民医院与喀什地区妇幼保健院同步启动公益活动,精心架起一座“无痛分娩暖心桥”,以三八节为契机,重磅推出无痛分娩专项宣传与惠民服务,将这份“温柔守护”送到每一位准妈妈身边,让“无痛分娩”不再是遥远的期待,而是触手可及的幸福。罗湖区人民医院驻喀什地区妇幼保健院麻醉科徐梦甜医生“深喀两地”共建友谊桥援疆赋能无痛守护跨越山海,同心筑梦。 罗湖区人民医院麻醉科赵彦君医生深圳援疆医疗专家

发布时间:2026-03-24来源:健康界
医疗器械“同品种/等同性评价”实施路径

TAKE HOME:1. 先判断是否在豁免目录内?在做“对比说明”,不在则做“同品种/等同性评价”;2. 评价时围绕“适用范围—技术特征—生物学特性”逐项比对,将差异逐条闭环;3. 如闭不了环,就不要硬走同品种路径,直接转临床试验。医疗器械“同品种/等同性评价路径”实操的核心在于证明申报产品与对比器械在适用范围、技术特征、生物学特性上基本等同;有差异时,需要有充分证据证明这些差异不会改变产品的安全

发布时间:2026-03-24来源:健康界
守护口腔健康,你做对了吗?快来对照检查→

每年的3月20日是世界口腔健康日。罗湖区人民医院口腔科章润宇医生提醒大家,多关注那些决定口腔健康的“关键小事”。这些看似平常的习惯,你真的做对了吗?快来对照检查,看看你避开了几个误区!刷牙时间,达标了吗?很多人刷牙像在“走过场”,进卫生间几十秒就完事。但章医生直言,这样“闪电式”的刷牙,效果跟没刷差别不大。 我们的牙齿有多个面,牙缝里、最里面那颗大牙的后面,都是容易被忽视的“卫生死角”。如果只是随

发布时间:2026-03-24来源:健康界
国家中医药管理局发布《乡镇卫生院 社区卫生服务中心中医药服务管理基本规范》

各省、自治区、直辖市及新疆生产建设兵团卫生健康委、中医药局、疾控局: 为进一步加强乡镇卫生院、社区卫生服务中心中医药服务规范化管理,依据《中华人民共和国基本医疗卫生与健康促进法》《中华人民共和国中医药法》《中共中央国务院关于促进中医药传承创新发展的意见》《国务院关于〈医疗卫生强基工程实施方案〉的批复》等要求,国家中医药局、国家卫生健康委、国家疾控局对2003年版《乡镇卫生院中医药服务管理基本规范》

发布时间:2026-03-24来源:国家中医药管理局
碱性磷酸酶显色试剂盒:原理、应用与实验指南

碱性磷酸酶显色是生命科学研究中一项经典且至关重要的检测技术,它像一个精密的“信号放大器”和“定位器”,能将不可见的酶活性转化为肉眼可见的颜色沉淀,从而揭示细胞状态、蛋白表达及定位等关键信息。作为实现这一技术的核心工具,碱性磷酸酶显色试剂盒在多个前沿研究领域发挥着不可替代的作用。本文将系统解析其工作原理,并深入探讨其在各类实验中的具体应用与操作要点。1. 碱性磷酸酶显色试剂盒:定义与核心原理碱性磷酸

发布时间:2026-03-24来源:健康界
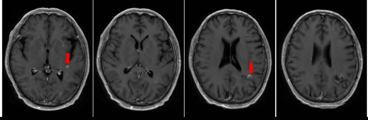
【典型病例】复发胶质母细胞瘤靶向联合免疫治疗效果显著

病史描述患者男性,54岁。2025年2月体检时发现左顶叶异常信号影,考虑胶质瘤可能性大。2025年3月8日行手术全切肿瘤,术后病理:(左顶)高级别胶质瘤,镜下呈胶质母细胞瘤形态,WHO 4级;建议行分子病理检测进一步明确诊断。免疫组化提示:MSH2、MSH6核表达缺失,提示微卫星不稳定。基因检测提示:MSI-H。术后行同步放化疗及替莫唑胺2周期化疗后,复查头颅核磁示颅内多发异常信号影,肿瘤复发可能

发布时间:2026-03-24来源:健康界
38岁突发心梗被极速救治:D-to-W时间47分钟意味着什么

近日,一名38岁男性在午餐后突发心前区闷痛,疼痛持续不缓解,同时伴随大汗、乏力等症状,随后由120急救人员送往医院急诊科就诊。从120院前急救启动,到胸痛中心绿色通道快速开启,再到导管室急诊介入手术成功开通堵塞血管,整个抢救过程高效快速、无缝对接。其中,关键急救指标——D-to-W时间(患者进医院大门到介入手术开通血管的时间)仅用47分钟,远低于国家规定的90分钟标准,成功挽救了这名年轻患者的生命

发布时间:2026-03-24来源:健康界
别让“缠腰龙”缠住晚年幸福:关于带状疱疹,筑牢健康防线

带状疱疹,民间俗称“缠腰龙”或“蛇盘疮”,是由水痘-带状疱疹病毒引起的感染性皮肤病。其危害不容忽视,不仅带来剧烈疼痛,还可能引发多种严重并发症。根据《带状疱疹中国专家共识(2018版)》和《带状疱疹疫苗预防接种专家共识》,全球普通人群带状疱疹发病率为(3~5)/1000人年,亚太地区为(3~10)/1000人年,并逐年递增2.5%~5.0%。其中,60岁人群发病率为6/1000人年~8/1000人

发布时间:2026-03-24来源:健康界
新研究:牙龈疾病相关细菌或加速乳腺肿瘤发生发展

图源:A pro-carcinogenic oral microbe internalized by breast cancer cells promotes mammary tumorigenesis约翰霍普金斯大学近日发表于《Cell Communication and Signaling》的一项研究显示,常与牙龈疾病相关的具核梭杆菌( Fusobacterium nucleatum )或可通

发布时间:2026-03-24来源:健康界
骨龄超前1~2岁:科学排查与理性干预是关键

在儿科的生长发育门诊中,常常能听到家长焦急地询问:“医生,我家孩子的骨龄比实际年龄大了1岁多,这会不会影响他以后长高呀?”骨龄,作为衡量儿童生长发育状况的重要“时间标尺”,其与实际年龄的差异,时刻牵动着家长们敏感的神经。特别是当骨龄超前1-2岁时,这种情况既不算极为异常,但也不能完全不当回事,关键在于要探寻背后的原因,并采取科学的应对措施。需要明确的是,骨龄超前1-2岁,并不等同于一定会影响孩子的

发布时间:2026-03-24来源:健康界
明明血压控制得很好,为何还是脑梗?医生:这些因素也要重视!

病例再现患者,66岁,有高血压病史15年,房颤病史3年,平时一直谨遵医嘱,血压控制良好。这天,夜里因起床上厕所时突然摔倒入院,头颅CT示:额叶、双侧基底节区多发脑梗塞。家人都很疑惑,医生是说果要控制血压,当心引发脑卒中,但一直血压控制很好,怎么还会脑梗呢?没错,高血压是脑梗塞发病的最重要的原因,可以说控制高血压是预防脑梗塞发生的最重要措施。但是,只是单纯控制高血压,并不能把脑梗塞这个疾病控制住,很

发布时间:2026-03-24来源:健康界
北京发布未来产业2026年工作要点,深度布局未来健康!

3月20日,北京市人民政府新闻办公室举行2026年北京市未来产业发展重点工作新闻发布会。市经济和信息化局、市科委中关村管委会、海淀区、昌平区、怀柔区、经开区管委会相关负责同志将出席发布会介绍工作情况。北京市经济和信息化局党组成员、副局长李辉 介绍,为加速培育壮大未来产业,该局会同北京各区和相关部门,围绕关键技术突破、新产品研制等,编制形成《北京市未来产业2026年工作要点》,在6个方面实施122项

发布时间:2026-03-24来源:健康界
全网都在“养龙虾”,医疗人到底能用它干嘛?安全吗?

—— AI + 医疗 ——全网都在"养龙虾",医疗人能用吗?OpenClaw · 真实体验 · 冷静分享最近好几个朋友问我同一个问题:"那个很火的'龙虾',我能不能也用?"我自己前后也折腾了一阵子:装了 OpenClaw,接了飞书和企业微信,也跑过一些任务。中间有惊喜,也有不少"就这?"的时刻。花了点时间把这段时间的感受整理了一下,结合国内外的一些报道,分享给大家。阅读指南最关心"我能不能用、能拿

发布时间:2026-03-24来源:健康界
喜讯 | 保利中轻荣获中国轻工联合会多个奖项

近日,中国轻工业联合会科技奖励名单揭晓。保利中轻凭借科研创新实力和产业赋能新成效获得多个重要奖项。其中,中国食品院、中国皮革制鞋院、中轻日化所属上海发凯获得科学技术进步奖二等奖;中国造纸院、中国日化院获得三等奖;中国海诚所属长沙公司获得科学技术发明奖三等奖。此次获奖充分彰显保利中轻在科研创新与成果转化领域实力和行业影响力。 中国食品发酵工业研究院(简称“中国食品院”)牵头完成的“利用基因工程手段改

发布时间:2026-03-23来源:中国海诚工程科技股份有限公司
华勤技术2025年净利润40.5亿元,同比增长38.6%

3月23日,华勤技术(603296.SH)发布2025年年度报告,公司业务不断拓展,各产品出货规模大幅增加,2025年实现营业收入1714.4亿元,同比增长56.0%。实现归属于上市公司股东的净利润40.5亿元,同比增长38.6%;实现归属于上市公司股东的扣除非经常性损益的净利润32.4亿元,同比增长38.3%。拟向全体股东每10股派发现金红利12元(含税)。其中第四季度,公司营业收入为425.6

发布时间:2026-03-23来源:公告